利用各种数字化诊疗设备,开设在苏州的九龙医院已经能够进行多种口腔疾病的调节,而且遵循着严格的消毒标准,所以在这里进行调节之后的安全系数还是比较高的,尽可能的保障患者的口腔调节需求得以满足。此外工作在这里的技术专家,基本上都来自于国内各大医院的医生,有很多有着在三甲医院工作多年的经历和背景,能够享受到更加专业的技术,尤其是牙齿种植,成为了科室的核心优势。

一、苏州九龙医院牙科怎么样?
苏州九龙医院作为一所综合性的医疗机构,开设了不少的临床专科,尤其是针对于内科、外科和口腔科等一些常规科室的发展建设,可以满足当地患者的日常诊疗需求。
医院的口腔科在2017年成为苏州市临床重点专科之后,还设立有口腔门诊,因为科室已经组建了一支专业的医疗团队,而且大部分都是拥有主诊医师资格证的医生,并且聘请三甲医院的医生作为技术指导,所以在诊疗方面的优势比较突出,能够进行口腔颌面外科、口腔种植、牙齿正畸等多个领域的调节,也逐步发展成为了苏州当地的口腔诊疗中心。

二、苏州九龙医院牙科医生推荐
夏静,历经10多年来的不断努力发展,在口腔的调节方面已经具备有较为突出的优势,能够结合每个人不同的口腔,并且用来实施调节。
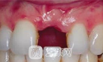
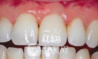
三、苏州九龙医院牙科种植牙案例对比图

在做牙齿种植之前,医生先对我的口腔进行了全面的检查,因为还患有牙周疾病,所以就先没有拔除牙齿,经过了一段时间的调节之后,才做的种植牙手术,把人工种植体植入到牙骨当中之后,的确是有一些轻微的肿胀,不过恢复了四五个月之后,等到牙根已经稳固,就可以佩戴牙冠,在这段时间里也养成了良好的口腔护理习惯,经常反复出现的牙疼已经逐步好转。

“苏州九龙医院牙科怎么样?”口腔科不仅成为了很多人所信赖的医疗机构,而且所提供的调节项目也比较多,像是针对于口腔内科、外科、口腔综合,在实施诊疗之后也得到了很多人的喜爱。
以下项目收费信息为当地市场参考价,通过用户反馈大数据收集整理,仅供参考!不代表该机构实际价格,请以到院面诊为准!
|
整形项目价格表 |
|
整形项目 |
价格参考 |
|
3DS超薄瓷贴面 |
3837-10325 |
|
牙齿瓷贴面 |
1827-11515 |
|
E-MAX |
2317-15296 |
|
3D全瓷牙贴面 |
1995-15715 |
|
Mega隐形瓷贴面 |
2792-15879 |
|
美国皓齿 |
2922-17244 |
|
瓷贴面 |
2009-15213 |
|
烤瓷牙补牙 |
1865-13989 |
|
烤瓷牙种植 |
1594-24829 |
|
全瓷牙种植 |
2558-25474 |
|
合金烤瓷牙 |
2470-31447 |
|
贵金属烤瓷牙 |
2544-29287 |
|
二氧化锆全瓷牙 |
2936-26085 |
|
镶牙 |
1948-11550 |
|
牙冠 |
2593-27896 |
|
前突牙 |
2517-27530 |
|
内收牙 |
2403-30387 |
|
牙齿脱落 |
2659-28693 |
|
微创种植 |
2901-31120 |
|
活动假牙 |
2692-25591 |
|
假牙 |
2617-26477 |
|
美容冠 |
1142-3393 |
|
龅牙矫正 |
4553-10990 |
|
地包牙矫正 |
4000-10730 |
|
虎牙矫正 |
2812-11695 |
|
牙齿不齐 |
1350-12279 |
|
牙齿稀疏 |
1226-12296 |
|
牙齿拥挤 |
5028-21184 |
|
隐适美 |
8622-80749 |
|
隐形正畸 |
9088-92420 |
|
金属托槽矫正 |
9744-101088 |
|
自锁托槽矫正 |
9978-82002 |
|
透明托槽矫正 |
8926-95284 |
|
透明隐形矫正 |
8309-95301 |
|
隐形矫正 |
9242-87779 |
|
隐形牙套 |
8333-103752 |
|
牙齿拥挤矫正 |
8437-89168 |
|
地包天矫正 |
7694-93735 |
|
凸嘴矫正 |
8430-82713 |
|
金属托槽 |
8613-99417 |
|
半隐型矫正 |
9033-97363 |
|
陶瓷矫正 |
7043-97180 |
|
深覆颌 |
9365-88589 |
|
牙套 |
9676-99061 |
|
牙颌畸形 |
7716-92996 |
|
补牙 |
745-12958 |
|
牙齿缺损修复 |
1420-11394 |
|
坏牙 |
1166-12089 |
|
蛀牙 |
1452-10518 |
|
拔智齿 |
1301-12132 |
|
牙齿综合 |
1384-11164 |
|
根管调节 |
1412-11207 |
|
牙周护理 |
1477-10571 |
|
牙渍 |
1378-10247 |
|
阻生牙 |
1117-10963 |
|
隐裂牙 |
1452-11416 |
|
多生牙 |
1331-10883 |
|
磨牙 |
1383-11660 |
|
塞牙 |
1242-11340 |
|
牙缝变大 |
1152-10015 |
|
龋齿 |
1427-12239 |
|
牙齿断裂 |
1126-11647 |
|
虫牙 |
1148-11490 |
|
牙洞 |
1331-10678 |
|
树脂补牙 |
1422-11124 |
|
浅龋 |
1306-10800 |
|
中龋 |
1183-12676 |
|
深龋 |
1270-11896 |
|
3M树脂补牙 |
1220-10178 |
|
烂牙 |
1248-10861 |
|
牙齿龋坏 |
1146-10373 |
|
微创根管 |
1218-10883 |
|
牙痛 |
1472-11539 |
|
牙磨损 |
1361-10414 |
|
牙脱位 |
1287-12892 |
|
牙齿外伤 |
1357-11596 |
|
超声波洁牙 |
431-2332 |
|
咖啡牙美白 |
423-2127 |
|
喷砂洁牙 |
371-2279 |
|
色素牙美白 |
464-8054 |
|
四环素牙美白 |
456-7140 |
|
洗牙 |
323-2289 |
|
牙齿冷光美白 |
446-2264 |
|
牙齿抛光 |
318-1605 |
|
牙齿漂白 |
412-2350 |
|
烟渍牙美白 |
445-2223 |
|
冷光美白 |
403-2348 |
|
皓齿美白 |
452-2041 |
|
牙黄变白 |
463-2327 |
|
氟斑牙美白 |
480-2180 |
|
变色牙美白 |
426-2005 |
|
黑牙美白 |
485-2100 |
|
茶渍牙美白 |
472-2285 |
|
牙美白 |
411-2358 |
|
半口牙种植 |
55671-120785 |
|
单颗牙种植 |
11091-28535 |
|
多颗牙种植 |
24934-172907 |
|
后牙种植 |
14048-50403 |
|
前牙种植 |
7534-35912 |
|
全口牙种植 |
71324-268754 |
|
种植牙/颗 |
5233-18234 |
|
瑞士ITI种植牙/颗 |
8798-17529 |
|
美国3I种植牙/颗 |
8948-21272 |
|
德国费亚丹种植牙/颗 |
11208-16771 |
|
瑞典诺贝尔种植牙/颗 |
11293-15148 |
|
德国贝格种植牙/颗 |
8503-15739 |
|
美国百康种植牙/颗 |
9537-16440 |
|
瑞典诺贝尔种植/颗 |
11154-21148 |
|
ITI瑞锆种植牙/颗 |
9291-17278 |
|
韩国奥齿泰种植牙/颗 |
6952-10275 |
|
韩国登特斯种植牙/颗 |
5709-9896 |
|
韩国美格真种植牙/颗 |
5479-19482 |
|
韩国登腾种植牙/颗 |
5501-10235 |
|
韩国dio种植牙/颗 |
5234-10340 |
|
德国ICX种植牙/颗 |
10861-19486 |
|
法国安多健种植/颗 |
11510-15781 |
|
进口种植牙/颗 |
9630-19463 |
|
国产种植牙 |
5259-14341 |
|
以上价格仅供参考,实际价格请到医院面诊获取! |
还有疑惑或者是想了解更多医院、医生、价格等信息
可以点击【在线咨询】,免费为您提供优质的咨询服务!