随着生活水平的直线上升,人们日常的饮食结构都发生了很大的变化,由于各种各样的原因,口腔健康开始出现问题,尤其是牙齿出现问题之后,对自身的形象影响还是挺大的,而且对平时吃饭来说也是有影响的,这个时候一定要寻求专业医院进行调节,新乡三附院口腔科是比较不错的,医生也挺有实力的,牙齿种植的价格4000元起,根据选择的种植体不同和手术难易程度不同,所需的价格也是不一样的,此价格仅供参考。

一、新乡三附院口腔科简介
作为一所三级综合性大学附属医院,在各个方面发展的都挺不错的,口腔科室里配备着完善的医疗设施及设备,医生也都拥有过硬的技术,成为了各种口腔疾病诊断调节的强有力支撑,除了进行临床工作以外,口腔科还能进行保健和教学工作,是综合性全面发展的,对于各种常见及复杂口腔疾病的诊治都能熟练进行,也获得了很多优秀的成绩。

二、新乡三附院口腔科医生名单
1、王冬梅医生
担任口腔科副主任医师职位,10多年来专注于口腔医学医教研工作的研究,对于基础口腔问题的诊疗有自己的心得,临床技术实力也比较扎实。
2、朱久育医生
有着丰富的口腔疑难杂症诊疗经验,也拥有很多成功的种植手术案例,对于牙齿种植美学掌握的特别扎实,操作技术特别娴熟,能针对不同口腔问题提供个性化的诊疗方案。
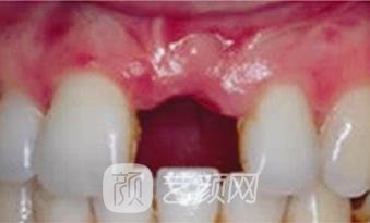
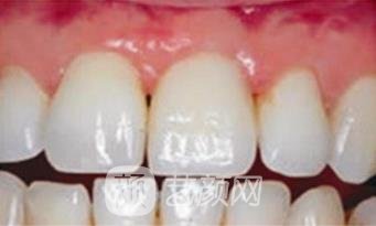
三、种植牙案例

进行手术的时候,医生对我注射了局部麻醉,打麻药的时候有一点疼,起作用之后就没有什么感觉了,做完手术之后,一直都保持良好的作息习惯,平时基本都是吃一些软烂清淡的食物,所以恢复的状况还是挺不错的,经过了精心的护理,现在已经磨合的很好了,打心底里感觉到特别开心。

新乡三附院口腔科怎么样?作为一所专业的口腔专科,院内配备的设备也远超当地其他同类型机构,不少口腔诊疗项目受到了很多业界同行的认可。
以下项目收费信息为当地市场参考价,通过用户反馈大数据收集整理,仅供参考!不代表该机构实际价格,请以到院面诊为准!
|
整形项目价格表 |
|
整形项目 |
价格参考 |
|
3DS超薄瓷贴面 |
3872-9946 |
|
牙齿瓷贴面 |
1854-11856 |
|
E-MAX |
2180-15048 |
|
3D全瓷牙贴面 |
1464-15667 |
|
Mega隐形瓷贴面 |
2180-15244 |
|
美国皓齿 |
1440-17277 |
|
瓷贴面 |
1786-16754 |
|
烤瓷牙补牙 |
1799-12635 |
|
烤瓷牙种植 |
1433-23067 |
|
全瓷牙种植 |
2899-31732 |
|
合金烤瓷牙 |
2691-30531 |
|
贵金属烤瓷牙 |
2452-28701 |
|
二氧化锆全瓷牙 |
2910-32356 |
|
镶牙 |
1635-10063 |
|
牙冠 |
2845-28818 |
|
前突牙 |
2923-29007 |
|
内收牙 |
2941-30819 |
|
牙齿脱落 |
2811-28299 |
|
微创种植 |
2617-28715 |
|
活动假牙 |
2863-27442 |
|
假牙 |
2570-31083 |
|
美容冠 |
1323-3809 |
|
龅牙矫正 |
4549-12241 |
|
地包牙矫正 |
4507-10415 |
|
虎牙矫正 |
2813-12642 |
|
牙齿不齐 |
1478-12255 |
|
牙齿稀疏 |
1488-11960 |
|
牙齿拥挤 |
5493-22026 |
|
隐适美 |
8079-96785 |
|
隐形正畸 |
8960-91274 |
|
金属托槽矫正 |
9534-98074 |
|
自锁托槽矫正 |
9320-88635 |
|
透明托槽矫正 |
7585-101812 |
|
透明隐形矫正 |
8794-89986 |
|
隐形矫正 |
7065-82496 |
|
隐形牙套 |
9865-81297 |
|
牙齿拥挤矫正 |
8267-80605 |
|
地包天矫正 |
8997-94456 |
|
凸嘴矫正 |
8046-103087 |
|
金属托槽 |
8581-94765 |
|
半隐型矫正 |
7093-91033 |
|
陶瓷矫正 |
8038-85587 |
|
深覆颌 |
8677-90271 |
|
牙套 |
8557-80621 |
|
牙颌畸形 |
8853-81148 |
|
补牙 |
879-10008 |
|
牙齿缺损修复 |
1197-11276 |
|
坏牙 |
1370-10272 |
|
蛀牙 |
1245-11318 |
|
拔智齿 |
1435-12899 |
|
牙齿综合 |
1386-12993 |
|
根管调节 |
1225-11030 |
|
牙周护理 |
1227-12708 |
|
牙渍 |
1187-11265 |
|
阻生牙 |
1335-10118 |
|
隐裂牙 |
1079-11909 |
|
多生牙 |
1299-12892 |
|
磨牙 |
1079-12026 |
|
塞牙 |
1130-10325 |
|
牙缝变大 |
1165-12889 |
|
龋齿 |
1477-12124 |
|
牙齿断裂 |
1094-10291 |
|
虫牙 |
1267-11470 |
|
牙洞 |
1182-12386 |
|
树脂补牙 |
1109-11287 |
|
浅龋 |
1057-11486 |
|
中龋 |
1458-10145 |
|
深龋 |
1148-10341 |
|
3M树脂补牙 |
1331-10879 |
|
烂牙 |
1261-11646 |
|
牙齿龋坏 |
1175-11487 |
|
微创根管 |
1088-11781 |
|
牙痛 |
1156-10226 |
|
牙磨损 |
1180-11108 |
|
牙脱位 |
1395-11502 |
|
牙齿外伤 |
1176-11554 |
|
超声波洁牙 |
443-2169 |
|
咖啡牙美白 |
455-2257 |
|
喷砂洁牙 |
333-2107 |
|
色素牙美白 |
423-8294 |
|
四环素牙美白 |
409-7005 |
|
洗牙 |
367-2039 |
|
牙齿冷光美白 |
433-2134 |
|
牙齿抛光 |
349-1688 |
|
牙齿漂白 |
444-2156 |
|
烟渍牙美白 |
482-2269 |
|
冷光美白 |
470-2040 |
|
皓齿美白 |
462-2259 |
|
牙黄变白 |
466-2394 |
|
氟斑牙美白 |
499-2086 |
|
变色牙美白 |
487-2125 |
|
黑牙美白 |
424-2391 |
|
茶渍牙美白 |
421-2123 |
|
牙美白 |
426-2318 |
|
半口牙种植 |
56065-128414 |
|
单颗牙种植 |
13139-25399 |
|
多颗牙种植 |
24113-183695 |
|
后牙种植 |
19252-55533 |
|
前牙种植 |
8124-30246 |
|
全口牙种植 |
74241-202565 |
|
种植牙/颗 |
8216-18991 |
|
瑞士ITI种植牙/颗 |
8316-15593 |
|
美国3I种植牙/颗 |
9544-21556 |
|
德国费亚丹种植牙/颗 |
11721-17719 |
|
瑞典诺贝尔种植牙/颗 |
11295-16243 |
|
德国贝格种植牙/颗 |
8522-18883 |
|
美国百康种植牙/颗 |
9796-18968 |
|
瑞典诺贝尔种植/颗 |
11637-22650 |
|
ITI瑞锆种植牙/颗 |
8046-15592 |
|
韩国奥齿泰种植牙/颗 |
6393-10136 |
|
韩国登特斯种植牙/颗 |
5980-10375 |
|
韩国美格真种植牙/颗 |
5877-15335 |
|
韩国登腾种植牙/颗 |
5752-10424 |
|
韩国dio种植牙/颗 |
5934-10284 |
|
德国ICX种植牙/颗 |
10910-19432 |
|
法国安多健种植/颗 |
11119-15434 |
|
进口种植牙/颗 |
9383-15099 |
|
国产种植牙 |
5395-12036 |
|
以上价格仅供参考,实际价格请到医院面诊获取! |
还有疑惑或者是想了解更多医院、医生、价格等信息
可以点击【在线咨询】,免费为您提供优质的咨询服务!