现在无论年龄大小,人们都会面临口腔出现问题,口腔出现问题之后是需要大家重视的,包括一些蛀牙或者是牙齿健康出现问题,也有些人对于牙齿的美观程度和畸形也比较注重,这个时候就要到专业的医院口腔科或者是牙科医院做诊疗,也促进了很多牙齿专科的发展,淮安一院口腔科得到了很多人的支持,很多小伙伴都想了解淮安一院牙科贵吗?医院收费价格并不算贵,都是根据实际进行的项目合理收费的,一些口腔和牙齿问题收费大概是1500元起,贵的也有好几万的,具体要看个人做的项目和医生的判断。

一、淮安一院口腔科介绍
作为一所三甲级别的公立医院,在当地还是比较有名的,医院的规模也很大,拥有很强的诊疗实力,配备的常规科室也比较齐全,口腔科就是其中一个,科室里配备了很多国外引进的良好口腔设备,也有许多专业的口腔科医生坐诊,能为患者带来良好的口腔诊疗体验,大部分的口腔问题都能在这里得到很好的解决。

二、淮安一院口腔科医生介绍
1、俞辉明医生
担任科室行政副主任医师职位,在行业里有很大的影响力,曾在上海大型医院口腔科进修和学习过,掌握了精湛的临床技术,对于严重颌面外伤救治和唇腭裂整形手术很有经验。
2、蒋锋医生
在医院里还是很有名气的,担任口腔科主任医师职位,从业至今已有20多年,临床实践经验比较丰富,对于各种类型口腔疾病的诊疗都很有经验,尤其对于牙齿种植和修复等项目有深入的研究。
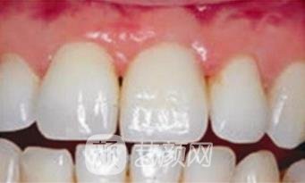
三、种植牙案例对比图

平时比较爱吃甜的,刷牙也都是糊弄过去,所以牙齿出现了很大的问题,就到医院去做了拔牙,然后吃饭的时候总是卡食物,终还是去做了种植牙齿,牙齿种植过后,形象也变得更好了,吃饭也不会卡食物了,其实跟自己的真牙齿没什么区别。

以上就是关于淮安一院牙科贵吗?的介绍,医院的收费都是公开透明的,也是按相关收费标准操作的,并且没有隐形消费,可以放心的选择。
还有疑惑或者是想了解更多医院、医生、价格等信息
可以点击【在线咨询】,免费为您提供优质的咨询服务!