可千万不要觉得价格昂贵,就忽略了对于牙齿缺失的调节,现如今的种植牙能够选择的种植体有很多,不是所有的种植体都有上万元,像一些韩国或者是合资的种植体,价格就比较便宜,可以考虑到正规的医疗机构认证,所提供的种植体重多,而且也都通过了授权认证,在安全方面会更加有保障。

一、上海九院口腔科简介
上海九院作为一所公立性质的三甲医院,所开设的众多项目的涉及到口腔、骨科、烧伤等多个专业领域,也成为了这些领域里的医疗中心。
医院的口腔科是在2002年就已经正式创办成立的大型口腔专科,汇集了一大批有博士、硕士学历医生,而且科室当中的众多成员也是目前口腔科医学协会的副主任医师和主任医师,在行业当中的话语权是比较高的。

二、上海九院口腔科李金恒简介
李医生从上海交通大学医学院毕业之后,不仅成为了很多患者所认可的青年医生,而且因为是主治医师的职称,也肩负着众多的学术和科研工作,取得了比较好的成绩。在调节方面所擅长开展的项目就是牙齿的美学修复,还能够就牙外伤和根管调节开展相应的调节工作,李医生已经成为了很多爱牙人士所钟爱的医疗机构。
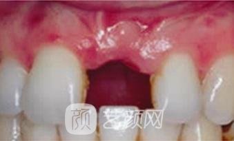
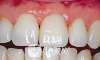
三、上海九院口腔科李金恒真人种植牙案例

选来选去,后还是觉得韩国进口种植体,性价比是比较高的,医生先对我的口腔进行了检查,符合种植的条件之后才会实施调节,好在经过一段时间的慢慢恢复之后,现在的牙齿已经变得整齐了很多,有些时候自己也会忘记有一颗牙齿是人工种植牙呢。

上海九院口腔科李金恒简介就为大家简单的分享到这里,虽然是口腔科室当中比较年轻的一位医生,但毕业于国内知名的医学院校,李医生在行业当中的人气和地位都比较高,也正是因为自己有着不同的见解和看法,才能够逐步提高在行业当中的地位。
还有疑惑或者是想了解更多医院、医生、价格等信息
可以点击【在线咨询】,免费为您提供优质的咨询服务!