毕竟现在人们对于自己的口腔健康都是比较关注的,所以如何能够在较短的时间内恢复口腔的健康,找一家正规的医疗机构就是前提条件。王氏口腔门诊部在本地拥有着较高的名望和地位,尤其是在牙髓病的调节方面,更是得到了患者朋友们的一致好评。

一、王氏口腔门诊部怎么样?
王氏口腔门诊部设立在湖北省的襄阳市,作为一所正规的口腔医疗机构,从创立之初开始,就始终坚持为爱牙人士提供高质量的操作。汇集了一些有实力有技术的医生之后,专业的设施再加上丰富的临床试验,也就逐步提高了自己在业界的地位,因此也就得到了很多患者朋友的认可和赞誉,待口碑相传之后,其影响力也覆盖到了周边的多个地区。

大家对于该机构有着比较高的满意度,所以在近些年来,为了能够一直保持快速发展的态势,在牙体牙髓疾病调节、牙齿矫正方面也加大了投入,引入了更多的新型调节技术。对于各种类型设备的引进和运用,也加快了诊疗的进程,所以VIP会员屡创新高,前来就诊的人数也就越来越多。
二、王氏口腔门诊部口碑评价和案例分享

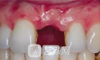
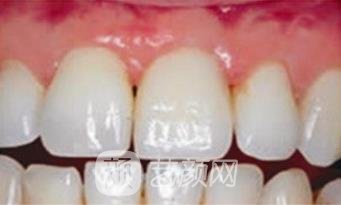
前不久刚刚做的牙齿种植,其实就是为了能够弥补一下自己已经出现缺失的牙齿,在进行牙齿种植之前,先对牙根进行了修复,而且通过一段时间的调节之后,终于达到了牙齿种植的标准,医生先给我进行了牙根的种植,之后又告诉我要耐心多恢复一段时间,才能够让牙根变得更加稳固,前前后后用了有4个多月的时间,才终于让牙根变得坚固,在佩戴了牙冠之后,也就和旁边的牙齿一样,再也不用饱受缺牙的烦恼,可以展现迷人的微笑。

“王氏口腔门诊部怎么样?”医院整体的实力还是比较强的,而且作为在诊疗方面具备有丰富临床经验的医疗机构,也会积累一些有实力的技术专家,小编为大家所带来的介绍,希望能够有一些帮助。
以下项目收费信息为当地市场参考价,通过用户反馈大数据收集整理,仅供参考!不代表该机构实际价格,请以到院面诊为准!
|
整形项目价格表 |
|
整形项目 |
价格参考 |
|
3DS超薄瓷贴面 |
3276-8827 |
|
牙齿瓷贴面 |
1669-10992 |
|
E-MAX |
1788-16060 |
|
3D全瓷牙贴面 |
2105-17735 |
|
Mega隐形瓷贴面 |
2512-16390 |
|
美国皓齿 |
1428-17093 |
|
瓷贴面 |
1753-16222 |
|
烤瓷牙补牙 |
1966-14569 |
|
烤瓷牙种植 |
1769-23560 |
|
全瓷牙种植 |
2539-31504 |
|
合金烤瓷牙 |
2539-32221 |
|
贵金属烤瓷牙 |
2428-28086 |
|
二氧化锆全瓷牙 |
2963-29906 |
|
镶牙 |
1526-10284 |
|
牙冠 |
2539-30920 |
|
前突牙 |
2918-31054 |
|
内收牙 |
2619-25208 |
|
牙齿脱落 |
2490-32281 |
|
微创种植 |
2636-29390 |
|
活动假牙 |
2984-31137 |
|
假牙 |
2814-25372 |
|
美容冠 |
1388-3088 |
|
龅牙矫正 |
4143-10107 |
|
地包牙矫正 |
4890-10740 |
|
虎牙矫正 |
2728-11437 |
|
牙齿不齐 |
1351-11027 |
|
牙齿稀疏 |
1269-12123 |
|
牙齿拥挤 |
5655-25152 |
|
隐适美 |
8956-86069 |
|
隐形正畸 |
7554-85393 |
|
金属托槽矫正 |
8754-101932 |
|
自锁托槽矫正 |
9843-95953 |
|
透明托槽矫正 |
9166-99397 |
|
透明隐形矫正 |
7450-96743 |
|
隐形矫正 |
9020-85869 |
|
隐形牙套 |
9958-101896 |
|
牙齿拥挤矫正 |
7316-89568 |
|
地包天矫正 |
7758-82663 |
|
凸嘴矫正 |
8113-98306 |
|
金属托槽 |
7223-102738 |
|
半隐型矫正 |
8789-92771 |
|
陶瓷矫正 |
7503-91512 |
|
深覆颌 |
9512-84836 |
|
牙套 |
8626-88442 |
|
牙颌畸形 |
8481-80602 |
|
补牙 |
978-10032 |
|
牙齿缺损修复 |
1364-10348 |
|
坏牙 |
1130-11107 |
|
蛀牙 |
1283-12220 |
|
拔智齿 |
1099-12444 |
|
牙齿综合 |
1467-11233 |
|
根管调节 |
1345-11737 |
|
牙周护理 |
1073-11248 |
|
牙渍 |
1164-12874 |
|
阻生牙 |
1120-11355 |
|
隐裂牙 |
1185-11128 |
|
多生牙 |
1211-10219 |
|
磨牙 |
1417-10752 |
|
塞牙 |
1222-12303 |
|
牙缝变大 |
1371-12629 |
|
龋齿 |
1497-12405 |
|
牙齿断裂 |
1411-11372 |
|
虫牙 |
1090-11526 |
|
牙洞 |
1312-12289 |
|
树脂补牙 |
1241-12756 |
|
浅龋 |
1181-10659 |
|
中龋 |
1127-11736 |
|
深龋 |
1125-11183 |
|
3M树脂补牙 |
1289-12333 |
|
烂牙 |
1336-11474 |
|
牙齿龋坏 |
1299-11448 |
|
微创根管 |
1448-10852 |
|
牙痛 |
1407-11125 |
|
牙磨损 |
1102-12871 |
|
牙脱位 |
1229-11144 |
|
牙齿外伤 |
1110-12023 |
|
超声波洁牙 |
424-2339 |
|
咖啡牙美白 |
443-2004 |
|
喷砂洁牙 |
386-2217 |
|
色素牙美白 |
406-8071 |
|
四环素牙美白 |
414-7292 |
|
洗牙 |
302-2245 |
|
牙齿冷光美白 |
436-2162 |
|
牙齿抛光 |
320-1656 |
|
牙齿漂白 |
482-2368 |
|
烟渍牙美白 |
434-2021 |
|
冷光美白 |
408-2118 |
|
皓齿美白 |
441-2290 |
|
牙黄变白 |
413-2234 |
|
氟斑牙美白 |
463-2259 |
|
变色牙美白 |
462-2316 |
|
黑牙美白 |
409-2325 |
|
茶渍牙美白 |
485-2068 |
|
牙美白 |
499-2150 |
|
半口牙种植 |
48839-126814 |
|
单颗牙种植 |
12927-28982 |
|
多颗牙种植 |
28097-177888 |
|
后牙种植 |
18031-50517 |
|
前牙种植 |
9019-31526 |
|
全口牙种植 |
76490-320414 |
|
种植牙/颗 |
9685-16914 |
|
瑞士ITI种植牙/颗 |
8776-17340 |
|
美国3I种植牙/颗 |
8905-21669 |
|
德国费亚丹种植牙/颗 |
11922-16588 |
|
瑞典诺贝尔种植牙/颗 |
11913-16903 |
|
德国贝格种植牙/颗 |
9647-19330 |
|
美国百康种植牙/颗 |
9575-17902 |
|
瑞典诺贝尔种植/颗 |
11047-21109 |
|
ITI瑞锆种植牙/颗 |
8063-19454 |
|
韩国奥齿泰种植牙/颗 |
6601-10103 |
|
韩国登特斯种植牙/颗 |
5818-9214 |
|
韩国美格真种植牙/颗 |
5824-17389 |
|
韩国登腾种植牙/颗 |
5642-10492 |
|
韩国dio种植牙/颗 |
5630-10453 |
|
德国ICX种植牙/颗 |
10993-19409 |
|
法国安多健种植/颗 |
11546-17243 |
|
进口种植牙/颗 |
9629-16926 |
|
国产种植牙 |
5332-12860 |
|
以上价格仅供参考,实际价格请到医院面诊获取! |
还有疑惑或者是想了解更多医院、医生、价格等信息
可以点击【在线咨询】,免费为您提供优质的咨询服务!