如果已经发现了自己也存在有多个牙齿缺失的情况,千万别着急,就拿现在的口腔调节技术,单颗牙种植的价格虽然比较高,但如果是多颗牙种植或者是半口种植,价格就是比较适中的,只需要几个种植牙就能够恢复到之前的咀嚼能力,深圳瑞尔口腔医院作为一家擅长做牙齿种植的医院在种植方面已经得到了很多人的喜爱。

一、深圳瑞尔口腔医院怎么样?
较早通过了卫生部门的审批之后,作为一所正规且大型的连锁机构,已经开设了不少的直营分店,而且还是在口腔调节方面拥有较高人气的医院,现如今在上海、广州、天津等一二线城市开设有分部之后,也进一步的拓展了在业务范围里的知名度,设立在深圳的几家分店,能够提供多种多样的调节项目,是人气比较高的口腔医院。
除了传统的种植之外,现如今比较受欢迎的项目就是无托槽隐形矫正、数字化微创种植和全口以及半口的种植,同时也能够为儿童提供相应的调节服务,成为了比较全能的医院,并且配备有数字化的口扫描仪,可以模拟出调节之后的样子。

二、深圳瑞尔口腔医院医生种植技术点评
程光兵,在牙齿种植方面能够做多种多样的种植,已经成为了人气颇高的一位医生,而且对于地包天等一系列比较复杂的牙齿矫正,也是很有经验的医生。
高润红,对于多种口腔综合调节是比较有经验的,而且高医生也是医疗团队里在牙齿正畸方面享有较高声誉的技术专家,先后解决了很多人的疑难问题。
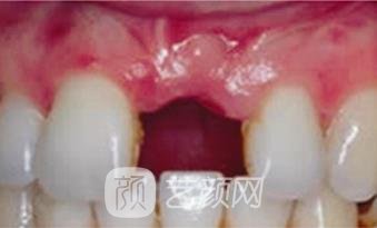
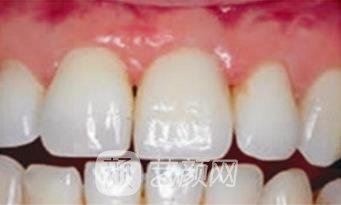
三、深圳瑞尔口腔医院种植牙案例

其实种植之前就已经做好了心理准备,等到真正实施的时候,医生可能看得出我比较紧张,所以在不断的安抚我,在回家之后,因为当时极客就已经佩戴了牙冠,所以吃东西不受影响,不过出于担心,还是吃了一段时间的流食。

“深圳瑞尔口腔医院怎么样?”目前在深圳地区已经开设了不少的连锁分店,成为了深受年轻人所喜爱的医疗机构之一,也正是因为在牙齿种植方面的人气比较高,才会有不少的爱牙人士慕名而来。
还有疑惑或者是想了解更多医院、医生、价格等信息
可以点击【在线咨询】,免费为您提供优质的咨询服务!