如果在日常生活当中,对于牙齿没有做好保护,而且还存在有一些陋习,对于牙齿上所造成的损伤会比较大,慢慢的也会影响到外在的形象,如果已经出现有牙根断裂或牙齿缺失,建议要及早的做牙齿修复。大同美源牙科医院是公办还是私人医院?作为一所私立的口腔医院,开设在大同市城区红旗街中段,是当地创办时间比较早的一所口腔专科医院,提供了数目众多的项目之后,尤其是在牙齿种植方面得到了不少本地患者的一致好评。

一、大同美源牙科医院简介
有着3000多平方米诊疗面积的大型口腔医院,从创办成立之后,就赢得了不少患者朋友的关注,有着便利的交通和优雅的环境,而且秉承着严谨专业的服务宗旨,对于调节技术的不断升级,可以带来更好的调节体验。
在提供的诸多项目当中,比较受欢迎的就是牙齿美白、牙齿正畸和各种类型的牙齿种植,此外还能够做精密附着体的调节,因为项目众多,所以不同年龄段的患者都能够在这里找到适合的调节方法,用自己的专业技术,呵护患者的口腔健康。

二、大同美源牙科医院医生推荐
沈利芳,从事口腔修复工作已经有20多年的时间,目前作为医疗团队里的主要负责人之一,对于口腔种植,特别是在种植上有着娴熟的调节技术,能够根据患者的牙齿缺失情况制定相应的调节方案。
郭素芳,是深受好评的年轻医生,擅于做牙体牙髓病和牙体的修复,对于牙齿美白也有所涉及。
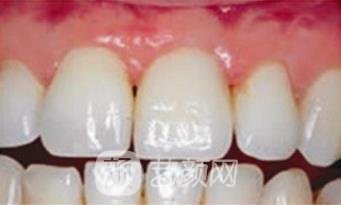
三、大同美源牙科医院种植牙案例

今年已经有50多岁,因为外伤的原因导致了三颗牙齿的缺失,专门找到沈医生,根据当时的口腔状况,制定了整体的调节方案,为期半年的修复过程让我很满意,先是对牙根进行了种植,等到慢慢恢复之后才戴上牙冠,而且在整个调节过程当中,医生都耐心细致的解答我的疑问,解除了许多的担忧。

“大同美源牙科医院是公办还是私人医院?”虽然是民营的口腔医疗机构,但是在调节方面的技术还是比较强的,迅速从众多的民营口腔医疗机构当中脱颖而出,所凭借的就是精湛的技术,也始终把患者的需求摆在首位。
还有疑惑或者是想了解更多医院、医生、价格等信息
可以点击【在线咨询】,免费为您提供优质的咨询服务!