现在大多数人都面临着不同的口腔问题,虽说并不算是什么大疾病,但是对日常的生活产生的影响也是比较大的,在牙疼或者牙齿缺失的时候,生活会变得特别不便利,可能也会影响人的外在形象,所以还是尽快的找专业的口腔医院进行诊疗,一般挑选公立医院里的口腔专科会比私立的医院要更加靠谱一些,巴中二人民医院牙科就是不错的选择,不仅技术实力比较在线,收费价格也是合理透明,有需求的患者可以到医院实地了解。

一、巴中二人民医院口腔科技术点评
医院地址位于四川省巴中市,是一所公立的综合性医院,院内拥有200多名专业医护人员,也开设有多个常规临床科室,承担着当地的基本医疗和预防救治的工作。
院内开展的口腔科室能够肩负当地人民群众的口腔疾病诊疗工作,也会开展一些健康知识的普及和宣传,在当地是很有名的,能够开展的主要项目是各种口腔疾病、牙齿种植和根管调节等,也有一些专业的口腔科医生在职,发展过程当中也在拓宽诊疗的范围,在当地人民群众心中的口碑还是很不错的。

二、巴中二人民医院口腔科种植牙案例
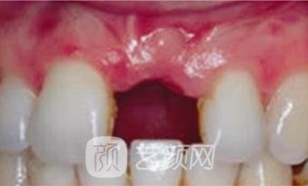
因为一次意外的小事故,导致我的牙齿少了一个,每次说话的时候感觉都会漏风,看着也挺奇怪,跟人沟通的时候特别尴尬,并且平时吃饭也受到了影响,对日常生活的影响还是比较大的,所以才想着去做个牙齿种植。

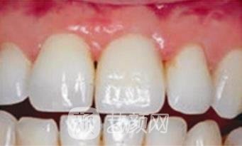
跟医生说了我的情况之后,很快就沟通敲定了手术方案,选择的是国产的种植体,价格相对来说还是挺优惠的,医生快速的帮我完成了手术,手法较为娴熟,并且操作的也比较精细,做完手术之后恢复了一段时间,牙齿就能正常使用了,平时说话和吃饭都不受影响了,带给我的帮助实在太大了。

巴中二人民医院牙科怎么样?牙科已经受到了很多患者的信赖,能够进行的诊疗项目也比较多,已经有很多患者在这里进行了诊治,并且也给出了较高的评价。
以下项目收费信息为当地市场参考价,通过用户反馈大数据收集整理,仅供参考!不代表该机构实际价格,请以到院面诊为准!
|
整形项目价格表 |
|
整形项目 |
价格参考 |
|
鼻中隔软骨隆鼻 |
15719-55688 |
|
玻尿酸隆鼻 |
24437-70642 |
|
硅胶隆鼻 |
17168-62869 |
|
假体隆鼻 |
16156-60490 |
|
胶原蛋白隆鼻 |
15910-65597 |
|
隆鼻失败修复 |
37850-88748 |
|
膨体隆鼻 |
24137-77953 |
|
微晶瓷隆鼻 |
16585-56416 |
|
自体耳软骨隆鼻 |
16704-54151 |
|
自体肋软骨隆鼻 |
16214-53744 |
|
自体隆鼻 |
17360-54422 |
|
自体脂肪隆鼻 |
24234-75630 |
|
线 雕隆鼻 |
24645-71329 |
|
耳软骨隆鼻 |
24623-74202 |
|
隆鼻价格 |
24208-75806 |
|
软肋骨隆鼻 |
24518-75030 |
|
注射隆鼻 |
24020-76735 |
|
隆鼻手术 |
12443-40570 |
|
达拉斯隆鼻 |
24994-75129 |
|
隆鼻假体取出 |
24884-78303 |
|
隆鼻 |
24116-74992 |
|
网红隆鼻 |
24621-77901 |
|
隆鼻价目表 |
24339-73498 |
|
鬓角移植植发 |
9568-40800 |
|
FUE种植头发 |
24970-32471 |
|
FUT种植头发 |
7413-18568 |
|
男性植发 |
9965-38662 |
|
女性植发 |
8924-26360 |
|
PTT植发技术 |
8857-16330 |
|
BHT植发技术 |
9266-15806 |
|
SHT植发技术 |
7058-16331 |
|
FUE3.0植发技术 |
8386-19128 |
|
FUE-APL2.0植发技术 |
8559-16153 |
|
LATTICE植发技术 |
9538-15504 |
|
秃顶植发 |
10820-15490 |
|
自体毛发移植 |
11076-53700 |
|
美人尖种植 |
7303-27618 |
|
头顶加密植发 |
4878-63143 |
|
发际线植发 |
4720-57430 |
|
前额植发 |
4137-53757 |
|
疤痕种植 |
815-6486 |
|
眉毛种植 |
12750-36343 |
|
睫毛种植 |
15825-42803 |
|
胡须种植 |
9389-26553 |
|
天宫线植发 |
9742-31757 |
|
鬓角种植 |
7962-32748 |
|
性感比基尼线 |
8138-25906 |
|
种植胡须 |
8692-38339 |
|
M型植发 |
9602-35820 |
|
植发手术 |
8399-37053 |
|
人工植发 |
7733-31516 |
|
无痕植发 |
7955-33284 |
|
补发植发 |
7928-31542 |
|
头发植发 |
8671-30282 |
|
颧骨垫高 |
4917-8027 |
|
磨颧骨 |
22619-55799 |
|
颧骨降低 |
19200-64239 |
|
颧骨内推 |
18601-57696 |
|
颧骨缩小失败修复 |
38023-111409 |
|
玻尿酸垫下巴 |
2519-10032 |
|
垫下巴失败修复 |
4770-15409 |
|
硅胶垫下巴 |
5535-20211 |
|
假体垫下巴 |
4186-21883 |
|
胶原蛋白垫下巴 |
1406-16241 |
|
膨体垫下巴 |
981-26442 |
|
自体骨垫下巴 |
17013-46927 |
|
自体脂肪垫下巴 |
4216-12032 |
|
E光美容 |
2913-7310 |
|
隆胸手术 |
4420-118116 |
|
硅胶隆胸 |
5558-186087 |
|
韩式隆胸 |
6477-58581 |
|
假体隆胸 |
11245-158292 |
|
胶原蛋白丰胸 |
4319-166667 |
|
隆胸修复 |
5645-222913 |
|
无痕微创隆胸 |
11101-54742 |
|
自体脂肪隆胸 |
12719-128283 |
|
膨体隆胸 |
13301-104778 |
|
吸脂隆胸 |
13655-100425 |
|
注射隆胸 |
11817-113021 |
|
内窥镜隆胸 |
11692-101964 |
|
自体隆胸 |
10875-120763 |
|
抽脂隆胸 |
14969-114473 |
|
无痕隆胸 |
11904-124040 |
|
微创隆胸 |
12075-124605 |
|
隆胸价格 |
13488-117110 |
|
美容冠 |
1126-3057 |
|
龅牙矫正 |
4253-12058 |
|
地包牙矫正 |
4014-11161 |
|
虎牙矫正 |
2702-12039 |
|
牙齿不齐 |
4595-25668 |
|
牙齿稀疏 |
4489-20167 |
|
牙齿拥挤 |
5946-20126 |
|
隐适美 |
8816-87997 |
|
隐形正畸 |
8878-96400 |
|
金属托槽矫正 |
7085-88336 |
|
自锁托槽矫正 |
9242-92422 |
|
透明托槽矫正 |
8226-98512 |
|
透明隐形矫正 |
7688-98860 |
|
隐形矫正 |
7193-86923 |
|
隐形牙套 |
8000-101198 |
|
牙齿拥挤矫正 |
9004-88928 |
|
地包天矫正 |
9084-87843 |
|
凸嘴矫正 |
7610-102367 |
|
金属托槽 |
8542-93388 |
|
半隐型矫正 |
8933-94071 |
|
陶瓷矫正 |
8035-88004 |
|
深覆颌 |
7327-97814 |
|
牙套 |
8678-103322 |
|
牙颌畸形 |
8188-80868 |
|
韩式开眼角 |
1948-7776 |
|
开内眼角 |
1218-5056 |
|
开外眼角 |
1439-6098 |
|
开眼角失败修复 |
1624-8965 |
|
无痕开眼角 |
2529-7944 |
|
眼角提升 |
1846-5141 |
|
定点双眼皮 |
4155-20371 |
|
多点双眼皮 |
4008-23290 |
|
韩式三点双眼皮 |
5840-20645 |
|
韩式双眼皮 |
5768-23022 |
|
埋线双眼皮 |
3486-16873 |
|
欧式双眼皮 |
6747-24739 |
|
切开双眼皮 |
4971-29894 |
|
双眼皮修复 |
7496-30227 |
|
微创双眼皮 |
4541-19304 |
|
肿泡眼双眼皮 |
9551-25907 |
|
割双眼皮 |
9237-23608 |
|
全切双眼皮 |
9923-23659 |
|
压线双眼皮 |
9837-24689 |
|
无痕双眼皮 |
9665-25410 |
|
拉双眼皮手术 |
9602-21555 |
|
三点定位双眼皮 |
7648-24424 |
|
自体脂肪填充整形 |
8160-242466 |
|
自体脂肪填充丰太阳穴 |
8113-229854 |
|
自体脂肪填充丰苹果肌 |
8091-202316 |
|
自体脂肪填充丰脸 |
9289-253324 |
|
自体脂肪丰下巴 |
8051-238052 |
|
自体脂肪填充丰额头 |
8036-236512 |
|
自体脂肪填充丰法令纹 |
9201-233239 |
|
自体脂肪填充下巴曲线 |
9324-226535 |
|
自体脂肪填充丰胸 |
11246-218574 |
|
自体脂肪填充面部 |
8400-231534 |
|
自体脂肪填充隆鼻 |
9240-207674 |
|
自体脂肪填充丰面颊 |
9218-250926 |
|
面部脂肪填充 |
9186-237430 |
|
自体脂肪填充丰泪沟 |
5057-254163 |
|
自体脂肪填充丰鼻唇沟 |
5334-246762 |
|
自体脂肪填充丰眼窝 |
5371-241571 |
|
自体脂肪填充丰眉弓 |
5164-211496 |
|
自体脂肪填充丰耳垂 |
5045-222993 |
|
自体脂肪填充丰发际线 |
5364-246280 |
|
自体脂肪填充丰眼睑 |
5181-246328 |
|
自体脂肪填充丰鼻基底 |
5102-210528 |
|
自体脂肪填充丰人中脊 |
5140-238030 |
|
自体脂肪填充脸部 |
5379-210353 |
|
自体脂肪填充全脸 |
9203-202982 |
|
自体脂肪填充下巴 |
5071-211997 |
|
超声刀 |
2789-21371 |
|
电波拉皮 |
5361-14331 |
|
热玛吉3代 |
2244-8757 |
|
热玛吉4代 |
6056-14543 |
|
热玛吉5代 |
12869-41992 |
|
PRP自体血清美肤 |
1169-10730 |
|
射频紧肤 |
1435-3400 |
|
NIR光波紧肤 |
1125-3427 |
|
热拉提 |
8508-13046 |
|
拉皮手术提升/次 |
20805-60869 |
|
内窥镜手术提升/次 |
24237-44815 |
|
小切口手术提升/次 |
11132-21621 |
|
青春解码仪美肤/次 |
240-541 |
|
皮秒激光 |
13756-24340 |
|
埋线提升 |
5476-34012 |
|
fotona欧洲之星/次 |
9487-13280 |
|
以上价格仅供参考,实际价格请到医院面诊获取! |
还有疑惑或者是想了解更多医院、医生、价格等信息
可以点击【在线咨询】,免费为您提供优质的咨询服务!