不管是牙齿有缺失或者是看上去不美观,对人的外在形象影响都比较大,会影响平时的正常生活,尤其是牙齿缺失之后,咀嚼功能首先会受到影响,并且还会伴随着强烈的疼痛感,想要良好的解决牙齿问题,前提是找到一所正规的医院,现如今全国各个地区都有很多专业的口腔医院,昆山同济口腔医院受到了许多患者的关注,医院在做牙齿种植方面还是挺有实力的,昆山同济口腔收费完全按照物价部门标准来执行,这一点可以放心。

一、昆山同济口腔医院介绍
医院在当地创立的时间较早,经过卫生部门审核批准之后成立,是一所正规的口腔专科医院,医院成立之后对于技术的优化比较注重,人员架构配置合理,也有齐全的诊疗设备,能对各种口腔和牙齿疾病问题进行良好的诊疗。
院内医生都是经过严格筛选后聘请的,对于各项技术掌握的都比较娴熟,也能熟练使用各种医疗器械,尤其对于牙齿种植方面,已经有了很多成功的手术案例,发展过程当中也在不断提升服务水平和技术水平,患者就诊过后大多都给出了较高的评价。

二、昆山同济口腔医院医生名单
1、田连松医生
对于牙齿拔除和修补种植方面都很有实力,对于各种口腔疾病的诊疗也很有经验,目前担任医院院长职位,拥有较强的诊疗能力。
2、顾胜祖医生
对于牙齿种植手术尤其擅长,会认真负责的对待每场手术,进行临床工作的同时也在不断外出进修学习,在业界收获了较高的评价。
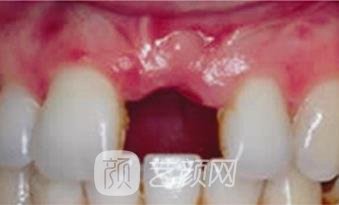
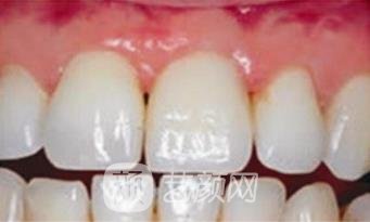
三、昆山同济口腔种植牙案例对比图

缺失了一颗牙齿之后,给我的生活造成的影响还挺大的,平时吃饭的时候总是不得劲儿,而且也会卡一些食物的残渣,就来医院做了牙齿种植手术,医生的技术确实很不错,种植完之后当天就可以吃饭,前期只能吃一些比较软烂的食物,然后按医生说的佩戴牙冠,经过一段时间的恢复之后,就完全恢复正常了。

昆山同济口腔收费怎样?医院收费价格合理透明,对于各种口腔和牙齿问题诊治技术较为成熟,能给患者提供高质量的调节。
以下项目收费信息为当地市场参考价,通过用户反馈大数据收集整理,仅供参考!不代表该机构实际价格,请以到院面诊为准!
|
整形项目价格表 |
|
整形项目 |
价格参考 |
|
3DS超薄瓷贴面 |
3515-8320 |
|
牙齿瓷贴面 |
1902-10263 |
|
E-MAX |
1803-15199 |
|
3D全瓷牙贴面 |
1670-17034 |
|
Mega隐形瓷贴面 |
2041-17715 |
|
美国皓齿 |
1645-15980 |
|
瓷贴面 |
2540-15200 |
|
烤瓷牙补牙 |
1906-13046 |
|
烤瓷牙种植 |
1488-20198 |
|
全瓷牙种植 |
2921-32363 |
|
合金烤瓷牙 |
2913-27818 |
|
贵金属烤瓷牙 |
2415-26587 |
|
二氧化锆全瓷牙 |
2509-28479 |
|
镶牙 |
1757-11899 |
|
牙冠 |
2548-25253 |
|
前突牙 |
2701-26401 |
|
内收牙 |
2558-31744 |
|
牙齿脱落 |
2779-30559 |
|
微创种植 |
2933-31664 |
|
活动假牙 |
2845-30678 |
|
假牙 |
2784-29584 |
|
美容冠 |
1352-3573 |
|
龅牙矫正 |
4791-12456 |
|
地包牙矫正 |
4978-11241 |
|
虎牙矫正 |
2905-11980 |
|
牙齿不齐 |
1325-10483 |
|
牙齿稀疏 |
1368-11276 |
|
牙齿拥挤 |
5843-20344 |
|
隐适美 |
7966-102687 |
|
隐形正畸 |
9425-96463 |
|
金属托槽矫正 |
7828-87803 |
|
自锁托槽矫正 |
7359-103910 |
|
透明托槽矫正 |
7526-98891 |
|
透明隐形矫正 |
9084-98345 |
|
隐形矫正 |
9541-94541 |
|
隐形牙套 |
7099-85195 |
|
牙齿拥挤矫正 |
8219-102148 |
|
地包天矫正 |
9035-99002 |
|
凸嘴矫正 |
9075-82730 |
|
金属托槽 |
8781-102129 |
|
半隐型矫正 |
7756-84757 |
|
陶瓷矫正 |
8566-87635 |
|
深覆颌 |
8286-91843 |
|
牙套 |
7461-84514 |
|
牙颌畸形 |
7877-80841 |
|
补牙 |
727-10204 |
|
牙齿缺损修复 |
1072-11423 |
|
坏牙 |
1246-10458 |
|
蛀牙 |
1446-12534 |
|
拔智齿 |
1170-11314 |
|
牙齿综合 |
1203-12071 |
|
根管调节 |
1383-10637 |
|
牙周护理 |
1110-11923 |
|
牙渍 |
1192-12384 |
|
阻生牙 |
1168-10261 |
|
隐裂牙 |
1417-10534 |
|
多生牙 |
1313-10687 |
|
磨牙 |
1174-11995 |
|
塞牙 |
1392-11631 |
|
牙缝变大 |
1211-12430 |
|
龋齿 |
1445-10449 |
|
牙齿断裂 |
1317-12667 |
|
虫牙 |
1334-10069 |
|
牙洞 |
1121-11019 |
|
树脂补牙 |
1445-11808 |
|
浅龋 |
1333-11255 |
|
中龋 |
1252-10009 |
|
深龋 |
1385-10838 |
|
3M树脂补牙 |
1136-10118 |
|
烂牙 |
1268-11191 |
|
牙齿龋坏 |
1146-10820 |
|
微创根管 |
1335-12604 |
|
牙痛 |
1170-11493 |
|
牙磨损 |
1293-11970 |
|
牙脱位 |
1324-11598 |
|
牙齿外伤 |
1394-10483 |
|
超声波洁牙 |
409-2244 |
|
咖啡牙美白 |
466-2141 |
|
喷砂洁牙 |
389-2218 |
|
色素牙美白 |
466-8011 |
|
四环素牙美白 |
424-7097 |
|
洗牙 |
398-2351 |
|
牙齿冷光美白 |
459-2057 |
|
牙齿抛光 |
323-1705 |
|
牙齿漂白 |
421-2117 |
|
烟渍牙美白 |
481-2022 |
|
冷光美白 |
481-2062 |
|
皓齿美白 |
482-2326 |
|
牙黄变白 |
410-2282 |
|
氟斑牙美白 |
442-2145 |
|
变色牙美白 |
414-2242 |
|
黑牙美白 |
414-2231 |
|
茶渍牙美白 |
400-2067 |
|
牙美白 |
437-2161 |
|
半口牙种植 |
52664-142307 |
|
单颗牙种植 |
14729-28166 |
|
多颗牙种植 |
27911-160279 |
|
后牙种植 |
19846-50622 |
|
前牙种植 |
8951-31268 |
|
全口牙种植 |
96155-284942 |
|
种植牙/颗 |
5610-18215 |
|
瑞士ITI种植牙/颗 |
9229-18866 |
|
美国3I种植牙/颗 |
9967-23906 |
|
德国费亚丹种植牙/颗 |
11495-16072 |
|
瑞典诺贝尔种植牙/颗 |
11690-17821 |
|
德国贝格种植牙/颗 |
8355-17550 |
|
美国百康种植牙/颗 |
9444-15983 |
|
瑞典诺贝尔种植/颗 |
11421-20674 |
|
ITI瑞锆种植牙/颗 |
9871-18794 |
|
韩国奥齿泰种植牙/颗 |
6153-10358 |
|
韩国登特斯种植牙/颗 |
5735-10256 |
|
韩国美格真种植牙/颗 |
5922-17031 |
|
韩国登腾种植牙/颗 |
5684-10217 |
|
韩国dio种植牙/颗 |
5614-10465 |
|
德国ICX种植牙/颗 |
10947-19310 |
|
法国安多健种植/颗 |
11899-17792 |
|
进口种植牙/颗 |
9273-17339 |
|
国产种植牙 |
5876-10769 |
|
以上价格仅供参考,实际价格请到医院面诊获取! |
还有疑惑或者是想了解更多医院、医生、价格等信息
可以点击【在线咨询】,免费为您提供优质的咨询服务!