牙齿的健康和我们的生活息息相关,尤其是现在,交通比较发达,想要去享受美食的话,距离已经不再是问题,但如果没有健康的牙齿,哪怕是再好的食物也无法体会到美食所带来的乐趣,遇到有牙齿缺失的问题,可以找杜鹏伟医生做种植,比较擅长的就是修复微创种植。

一、杜鹏伟技术怎么样?
杜鹏伟技术还是很不错的,从上海交通大学口腔医学系毕业之后,在牙齿种植方面,还是诺贝尔种植体的国内讲师,并且对韩国奥齿泰等一些常见的种植体比较熟悉系统的学习过种植的方式之后,能够给患者制定出个性化的解决方案,再加上医生擅于沟通,在进行牙齿调节之前,能够了解清楚自己所需要面对的调节方式和可能遇到的风险,让患者有心理预期,所以调节之后的好评率也是比较高的。
因为医生经手的案例有很多,所以能够开展的调节项目也就比较多,在做牙齿种植时,不需要把牙龈切开,可以直接在牙龈外进行手术操作,降低对于牙龈造成的创伤,利用种植导板进行种植之后,技术会更加的精细,也不会损伤周边的牙齿健康。

二、杜鹏伟在哪里坐诊?
杜鹏伟在上海美乐口腔医院工作,作为有着多年发展历史的大型口腔医疗机构,在上海所成立的大型旗舰店,有2000多平方米的营业面积,医院当中不仅汇集了很多有实力的技术专家,而且都是一些能够进行复杂调节的医生,各种种植体和牙冠品牌一应俱全,得到了很多人的认可。
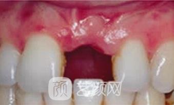
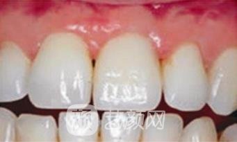
三、杜鹏伟种植牙案例

在做牙齿种植的时候,先是经过了一系列的检查,由医生实施的调节,现在看自己的牙齿变得更加的牢固,而且不用担心会影响到旁边的正常牙齿。

“杜鹏伟技术怎么样?”杜医生属于在上海当地,比较擅长做牙齿种植和牙齿矫正的医生,也正是因为成熟的调节技术,深受患者朋友的喜爱,解决了很多困扰大家的疑难问题。
还有疑惑或者是想了解更多医院、医生、价格等信息
可以点击【在线咨询】,免费为您提供优质的咨询服务!