新都区第三人民医院牙科收费标准当中种植牙的价格在3800元起,不同地区的种植牙在价格方面会有一些变化,具体还是要到口腔科做进一步的咨询,医生能够根据患者的实际情况,制定出合理的调节方案,整体的性价比还是比较高的。

一、成都市新都区第三人民医院口腔科简介
作为在1952年就已经成立的综合性医院开放有402张床位,现有的卫生专业技术人员有386人,目前开设有呼吸内科,消化内科,口腔科,眼科等多个临床科室之后,不仅在调节方面的能力比较突出,而且各个科室之间的配合默契,能够为患者提供更加方便的调节服务。在硬件设施的配置方面也引进了美国德国等一系列的检查设备,方便医生做诊治。

口腔科作为医院的特色科室之一,能够救牙列稀疏,牙齿齿拥挤等一些问题进行调节,而且在实施调节之后,不仅改变了口腔健康,同时也能够恢复外形上的美观,特别是针对于适龄儿童提供的牙齿矫正,得到了不少人的认可,在牙齿种植方面已经购入了许多的种植系统。能够根据患者的实际需求制定出相应的调节方案,而且在实施调节的过程当中,严格遵循四手操作原则,降低了调节的风险。
二、成都市新都区第三人民医院种植牙案例

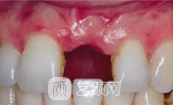
经过了一段时间的恢复之后,种植的牙根已经逐步变稳过,而且平时吃饭也不受影响,原本只是想要弥补牙齿缺失的问题,没想到种植之后的形态是比较满意的,从外形上看和旁边的正常牙齿没什么区别,除了一开始的时候不能够吃过于粘粘的食物之外,也不需要经过特殊的处理。在种植后6个月又回医院复查,医生说我保养的还很不错,平时在日常生活当中不要吃一些太过于坚硬的食物即可。

新都区第三人民医院牙科收费标准已经通过了物价部门的审核批准,作为当地的综合性医院,在调节方面的费用还是比较合理的。
以下项目收费信息为当地市场参考价,通过用户反馈大数据收集整理,仅供参考!不代表该机构实际价格,请以到院面诊为准!
|
整形项目价格表 |
|
整形项目 |
价格参考 |
|
3DS超薄瓷贴面 |
3855-8249 |
|
牙齿瓷贴面 |
1920-10023 |
|
E-MAX |
1481-15605 |
|
3D全瓷牙贴面 |
2524-17440 |
|
Mega隐形瓷贴面 |
2121-17771 |
|
美国皓齿 |
2275-15173 |
|
瓷贴面 |
2215-16136 |
|
烤瓷牙补牙 |
1715-13966 |
|
烤瓷牙种植 |
1570-21718 |
|
全瓷牙种植 |
2744-25007 |
|
合金烤瓷牙 |
2743-31148 |
|
贵金属烤瓷牙 |
2907-30138 |
|
二氧化锆全瓷牙 |
2482-30519 |
|
镶牙 |
1565-11315 |
|
牙冠 |
2993-31668 |
|
前突牙 |
2832-28268 |
|
内收牙 |
2778-32088 |
|
牙齿脱落 |
2547-28526 |
|
微创种植 |
2477-30649 |
|
活动假牙 |
2658-27444 |
|
假牙 |
2811-31729 |
|
美容冠 |
1068-3667 |
|
龅牙矫正 |
4408-12637 |
|
地包牙矫正 |
4976-10465 |
|
虎牙矫正 |
2614-10426 |
|
牙齿不齐 |
1348-12586 |
|
牙齿稀疏 |
1060-11476 |
|
牙齿拥挤 |
5717-24421 |
|
隐适美 |
7152-100798 |
|
隐形正畸 |
8872-87113 |
|
金属托槽矫正 |
7594-103526 |
|
自锁托槽矫正 |
8776-80534 |
|
透明托槽矫正 |
9013-90327 |
|
透明隐形矫正 |
8457-89746 |
|
隐形矫正 |
9217-98307 |
|
隐形牙套 |
9644-90171 |
|
牙齿拥挤矫正 |
8378-90726 |
|
地包天矫正 |
9947-85061 |
|
凸嘴矫正 |
9927-86280 |
|
金属托槽 |
9166-101254 |
|
半隐型矫正 |
9382-82008 |
|
陶瓷矫正 |
9290-96215 |
|
深覆颌 |
8422-88316 |
|
牙套 |
7190-99974 |
|
牙颌畸形 |
9424-93709 |
|
补牙 |
909-11357 |
|
牙齿缺损修复 |
1250-12736 |
|
坏牙 |
1358-12682 |
|
蛀牙 |
1348-12609 |
|
拔智齿 |
1277-11774 |
|
牙齿综合 |
1341-11156 |
|
根管调节 |
1395-10445 |
|
牙周护理 |
1459-11867 |
|
牙渍 |
1267-12058 |
|
阻生牙 |
1258-11482 |
|
隐裂牙 |
1141-10566 |
|
多生牙 |
1216-11897 |
|
磨牙 |
1492-10949 |
|
塞牙 |
1413-12934 |
|
牙缝变大 |
1451-11449 |
|
龋齿 |
1438-10386 |
|
牙齿断裂 |
1463-12685 |
|
虫牙 |
1341-12412 |
|
牙洞 |
1375-10857 |
|
树脂补牙 |
1334-12242 |
|
浅龋 |
1100-12852 |
|
中龋 |
1069-10958 |
|
深龋 |
1450-10904 |
|
3M树脂补牙 |
1332-10320 |
|
烂牙 |
1155-12993 |
|
牙齿龋坏 |
1245-12577 |
|
微创根管 |
1057-12325 |
|
牙痛 |
1388-11263 |
|
牙磨损 |
1097-10431 |
|
牙脱位 |
1116-12327 |
|
牙齿外伤 |
1357-12662 |
|
超声波洁牙 |
440-2373 |
|
咖啡牙美白 |
476-2328 |
|
喷砂洁牙 |
343-2179 |
|
色素牙美白 |
408-8273 |
|
四环素牙美白 |
421-7045 |
|
洗牙 |
348-2053 |
|
牙齿冷光美白 |
464-2353 |
|
牙齿抛光 |
360-1797 |
|
牙齿漂白 |
485-2054 |
|
烟渍牙美白 |
484-2327 |
|
冷光美白 |
478-2089 |
|
皓齿美白 |
404-2394 |
|
牙黄变白 |
461-2167 |
|
氟斑牙美白 |
428-2201 |
|
变色牙美白 |
495-2288 |
|
黑牙美白 |
447-2079 |
|
茶渍牙美白 |
478-2334 |
|
牙美白 |
450-2172 |
|
半口牙种植 |
52394-129769 |
|
单颗牙种植 |
10540-25797 |
|
多颗牙种植 |
27235-189828 |
|
后牙种植 |
14004-63904 |
|
前牙种植 |
7847-34799 |
|
全口牙种植 |
70334-321622 |
|
种植牙/颗 |
7105-18406 |
|
瑞士ITI种植牙/颗 |
9891-16036 |
|
美国3I种植牙/颗 |
9205-20027 |
|
德国费亚丹种植牙/颗 |
11141-17273 |
|
瑞典诺贝尔种植牙/颗 |
11669-18921 |
|
德国贝格种植牙/颗 |
8664-18961 |
|
美国百康种植牙/颗 |
9623-16887 |
|
瑞典诺贝尔种植/颗 |
11513-21470 |
|
ITI瑞锆种植牙/颗 |
8398-18162 |
|
韩国奥齿泰种植牙/颗 |
6303-10357 |
|
韩国登特斯种植牙/颗 |
5909-9202 |
|
韩国美格真种植牙/颗 |
5234-15361 |
|
韩国登腾种植牙/颗 |
5758-10341 |
|
韩国dio种植牙/颗 |
5115-10412 |
|
德国ICX种植牙/颗 |
10903-19247 |
|
法国安多健种植/颗 |
11962-17889 |
|
进口种植牙/颗 |
9126-17865 |
|
国产种植牙 |
5176-14326 |
|
以上价格仅供参考,实际价格请到医院面诊获取! |
还有疑惑或者是想了解更多医院、医生、价格等信息
可以点击【在线咨询】,免费为您提供优质的咨询服务!