以前如果说口腔内部的牙齿确实比较多的话,需要一颗一颗的进行牙齿种植,但现在种植技术的出现,让全口种植牙的方式也变得多样化,上海十院的口腔科,作为在牙齿种植方面很有实力的临床专科,能够运用的口腔种植技术也比较多,如果正好遇到了缺牙的问题,可以到医院做进一步的咨询。

一、上海十院种植牙怎么样?
创建于1910年的上海市第十人民医院现有的在职职工当中,研究生的比例超过64%,还在医院开设有10个博士点和16个硕士点,有113名硕士研究生,医疗团队当中还有不少学科带头人和领军人才使得自身的综合实力有了较大幅度的提升。
口腔科是在2004年所正式创办成立的特色临床学科,拥有独立的诊疗空间面积有2500平方米,打造了31间独立的标准化诊疗室在硬件设施的配置方面,提供口腔专用ct、口腔内窥镜等等。主要开展的就是牙齿正畸,牙齿种植类的项目,在诊疗的过程当中全程会有导医陪同,可以享受更加人性化的医疗服务。

二、上海十院种植牙人气医生名单
汪饶饶,在日本松本齿科大学完成博士的学习后,目前是口腔科的主任医生,对于成人牙列不齐牙齿的缺失修复有着深入的研究,曾多次获得个人荣誉称号。
朱磊,擅长做缺失牙的种植修复,从前往法国巴黎访问学习,掌握了比较多的牙齿种植技术之后,是上海市口腔医学会全科医学专业委员会的委员。
三、上海十院种植牙案例

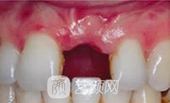
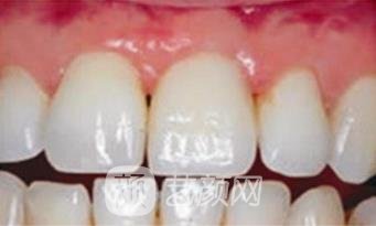
医院的环境还是很不错的,拔已经缺失了一半的牙齿,拔掉之后,先进行了一段时间牙周炎的调节,符合了种植的条件之后又做了种植,种植之后,当天就佩戴了牙冠,所以不会影响到之后的吃东西。

上海十院种植牙怎么样?在牙齿种植方面,作为能够进行专业诊疗的医疗机构,在费用方面也是比较合理的,像单颗种植牙的价格在7500元起,因为国产种植牙和进口种植牙的价位不太相同,以上的费用供大家作为参考。
以下项目收费信息为当地市场参考价,通过用户反馈大数据收集整理,仅供参考!不代表该机构实际价格,请以到院面诊为准
|
整形项目价格表 |
|
整形项目 |
价格参考 |
|
3DS超薄瓷贴面 |
3211-9051 |
|
牙齿瓷贴面 |
1515-10753 |
|
E-MAX |
1711-17021 |
|
3D全瓷牙贴面 |
2060-16810 |
|
Mega隐形瓷贴面 |
2597-15550 |
|
美国皓齿 |
2806-17315 |
|
瓷贴面 |
2218-17105 |
|
烤瓷牙补牙 |
1893-13391 |
|
烤瓷牙种植 |
1547-22154 |
|
全瓷牙种植 |
2925-27159 |
|
合金烤瓷牙 |
2845-27264 |
|
贵金属烤瓷牙 |
2661-28710 |
|
二氧化锆全瓷牙 |
2602-30168 |
|
镶牙 |
1436-10304 |
|
牙冠 |
2886-31372 |
|
前突牙 |
2717-30461 |
|
内收牙 |
2479-26793 |
|
牙齿脱落 |
2898-25451 |
|
微创种植 |
2736-27290 |
|
活动假牙 |
2895-26347 |
|
假牙 |
2427-31912 |
|
美容冠 |
1367-3321 |
|
龅牙矫正 |
4613-12080 |
|
地包牙矫正 |
4196-12262 |
|
虎牙矫正 |
2630-11690 |
|
牙齿不齐 |
1389-10275 |
|
牙齿稀疏 |
1453-10672 |
|
牙齿拥挤 |
5685-20322 |
|
隐适美 |
9900-94713 |
|
隐形正畸 |
8665-90520 |
|
金属托槽矫正 |
8294-91610 |
|
自锁托槽矫正 |
8829-84496 |
|
透明托槽矫正 |
7847-99208 |
|
透明隐形矫正 |
8933-103917 |
|
隐形矫正 |
7323-89101 |
|
隐形牙套 |
8262-83162 |
|
牙齿拥挤矫正 |
8386-80620 |
|
地包天矫正 |
9227-98314 |
|
凸嘴矫正 |
7247-97514 |
|
金属托槽 |
9185-86836 |
|
半隐型矫正 |
8661-97190 |
|
陶瓷矫正 |
7901-87819 |
|
深覆颌 |
8211-94597 |
|
牙套 |
7599-86058 |
|
牙颌畸形 |
9251-88642 |
|
补牙 |
960-12343 |
|
牙齿缺损修复 |
1081-10728 |
|
坏牙 |
1275-12955 |
|
蛀牙 |
1493-10201 |
|
拔智齿 |
1085-12387 |
|
牙齿综合 |
1326-11047 |
|
根管调节 |
1335-11948 |
|
牙周护理 |
1428-10158 |
|
牙渍 |
1430-10758 |
|
阻生牙 |
1432-10009 |
|
隐裂牙 |
1153-12601 |
|
多生牙 |
1384-12810 |
|
磨牙 |
1177-11306 |
|
塞牙 |
1313-11254 |
|
牙缝变大 |
1328-11491 |
|
龋齿 |
1471-10332 |
|
牙齿断裂 |
1486-12230 |
|
虫牙 |
1197-11744 |
|
牙洞 |
1182-11277 |
|
树脂补牙 |
1281-10818 |
|
浅龋 |
1092-11505 |
|
中龋 |
1255-10733 |
|
深龋 |
1076-11580 |
|
3M树脂补牙 |
1341-10334 |
|
烂牙 |
1185-12186 |
|
牙齿龋坏 |
1389-11989 |
|
微创根管 |
1298-11892 |
|
牙痛 |
1050-12872 |
|
牙磨损 |
1276-10755 |
|
牙脱位 |
1166-12297 |
|
牙齿外伤 |
1057-12580 |
|
超声波洁牙 |
464-2126 |
|
咖啡牙美白 |
420-2149 |
|
喷砂洁牙 |
320-2007 |
|
色素牙美白 |
462-8128 |
|
四环素牙美白 |
453-7028 |
|
洗牙 |
355-2250 |
|
牙齿冷光美白 |
431-2250 |
|
牙齿抛光 |
366-1538 |
|
牙齿漂白 |
443-2154 |
|
烟渍牙美白 |
448-2161 |
|
冷光美白 |
402-2017 |
|
皓齿美白 |
482-2098 |
|
牙黄变白 |
413-2178 |
|
氟斑牙美白 |
457-2023 |
|
变色牙美白 |
473-2234 |
|
黑牙美白 |
454-2054 |
|
茶渍牙美白 |
500-2180 |
|
牙美白 |
440-2044 |
|
半口牙种植 |
48767-139694 |
|
单颗牙种植 |
12704-25204 |
|
多颗牙种植 |
28651-152459 |
|
后牙种植 |
16250-63101 |
|
前牙种植 |
8042-30090 |
|
全口牙种植 |
80136-286419 |
|
种植牙/颗 |
8242-16350 |
|
瑞士ITI种植牙/颗 |
8061-18800 |
|
美国3I种植牙/颗 |
8073-23780 |
|
德国费亚丹种植牙/颗 |
11667-16097 |
|
瑞典诺贝尔种植牙/颗 |
11426-16385 |
|
德国贝格种植牙/颗 |
9141-18589 |
|
美国百康种植牙/颗 |
8233-17577 |
|
瑞典诺贝尔种植/颗 |
11706-23317 |
|
ITI瑞锆种植牙/颗 |
9082-16327 |
|
韩国奥齿泰种植牙/颗 |
6822-10317 |
|
韩国登特斯种植牙/颗 |
5160-9421 |
|
韩国美格真种植牙/颗 |
5086-16402 |
|
韩国登腾种植牙/颗 |
5146-10174 |
|
韩国dio种植牙/颗 |
5658-10007 |
|
德国ICX种植牙/颗 |
10280-19221 |
|
法国安多健种植/颗 |
11450-15040 |
|
进口种植牙/颗 |
9648-15578 |
|
国产种植牙 |
5900-11246 |
|
以上价格仅供参考,实际价格请到医院面诊获取! |
还有疑惑或者是想了解更多医院、医生、价格等信息
可以点击【在线咨询】,免费为您提供优质的咨询服务!