无论牙齿缺失的程度如何,空着不去修补可不是长久之计,种植牙已经成为当下效果很不错的方法,比安装假牙稳固性更好,从外观上也会看上去更像真牙,更不需要天天摘下来清洗假牙,福清音西玖壹口腔门诊部虽然是私立的口腔医疗机构,但一点都不影响该医院在牙齿种植方面的实力,在价格上很亲民。

一、福清音西玖壹口腔门诊部简介
是在2021年正式进驻到福清的,几年间迅速成长为口腔医疗领域里很受好评的专科医院,规模宏大,舒适优美,是人们进入到医院后的第一感觉。从进门开始,专门的导医就一直陪同,耐心解答问题,引导陪同人员在休息区就坐,有免费的茶水,提供了免费的WiFi。
从欧美多个地方引进数字化设备,硬件条件逐步升级,提供的项目随之增多,以牙齿种植为主,常见口腔疾病的,包括为适龄儿童做口腔护理。

牙齿缺失的不同症状,采用不同的修复方法,使用较多的是单颗牙种植,老年人出现的多颗牙缺失,可使用全口种植应对。医生也不是随便的制定方案,通过断层ct获得口腔信息,判断出适合的方法。
二、福清音西玖壹口腔门诊部种植牙案例

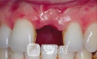
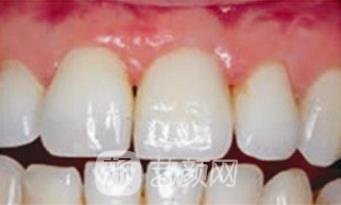
一次意外摔倒,让我失去了半颗门牙,在我印象里牙齿种植的价格比较贵,原本没想的要用种植牙,只是打算用假牙来弥补一下,到了医院之后对比了一下价格,发现种植牙并没有贵到我接受不了,但种植后的效果却是假牙没法比的,医生还特别贴心的帮我制定了种植方案,就这样完成种植,修复了原本空缺的牙齿,可能因为我是普通的种植方法,所以经过了两次手术,一次用来种植牙根,一次用来安装牙冠时间稍微长一些。

福清音西玖壹口腔门诊部是私立的吗?可以放心的把口腔的问题交给专业的医生解决,在之后能够享受长期的回访服务,保持健康口腔状态。
还有疑惑或者是想了解更多医院、医生、价格等信息
可以点击【在线咨询】,免费为您提供优质的咨询服务!