有时候大人也挺不让人省心的,爱去尝试各种危险的、刺激的事物,如果整个过程比较安全,其实也没什么,但就怕遇到危险,这两年医院里磕掉牙的人可不算少,基本都要靠牙齿种植来把牙齿的空缺填补。武汉德亚口腔医院是口腔专科医院,对于牙齿和口腔存在的各类复杂问题,都能够良好的解决,具有比较出色的诊疗技术,种植牙价格4000元起,国产种植体的性价比更高,进口的种植体价格更贵一些。

一、武汉德亚口腔医院技术怎么样?
在武汉地区已经开设了有几家分院,聘请了来自德国的口腔诊疗专家团队,能够进行美学修复、牙齿种植、数字化正畸等多种不同的项目,品牌来自德国,有着严谨先进的种植技术,并且是连锁品牌,知名度比较高,注重诊疗过程的安全性,并且诊疗过程也很精密和专业,配备的各类医疗设施都比较高端,能够进行精准诊疗。

二、武汉德亚口腔医院种植牙案例
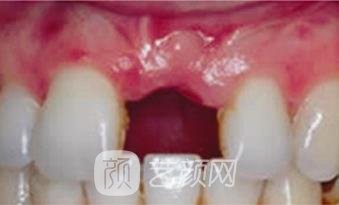
不管每次出远门还是在家附近,只要是离开家,妈妈都会叮嘱我注意安全,但是我这个人稍微有点叛逆,这次就遭殃了,做极限运动的时候,把我的牙齿给磕掉了,还不敢让家人知道,生怕家人会担心我,所以就自己到医院去咨询了,看有没有什么方法能够解决,医生说我的牙齿问题需要通过种植牙来解决,起到的效果堪称原生感。

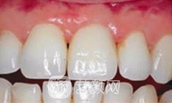
跟医生沟通后,就让医生赶紧帮我安排了做种植,希望家人见到我的时候不会发现异样,为了种植效果更好,所以选择的是进口的种植体,价格确实挺贵的,但是我也能接受,医生在种植的时候,手法是比较细致的,整个过程耗时一个多小时,进行的比较顺利,术后经过磨合,果然达到了医生说的原生感,效果很自然逼真,家人见了我也没有发现任何异样。

武汉德亚口腔医院种植牙多少钱?拥有百万级庞大的中德种植矫正库案例,也有德国专业的口腔专家团队,引进有德国全套精密数字化诊疗设备,是高度疑难缺失牙疑难病例种植中心,技术实力出色且领先。
以下项目收费信息为当地市场参考价,通过用户反馈大数据收集整理,仅供参考!不代表该机构实际价格,请以到院面诊为准
|
整形项目价格表 |
|
整形项目 |
价格参考 |
|
3DS超薄瓷贴面 |
3836-10162 |
|
牙齿瓷贴面 |
1842-11182 |
|
E-MAX |
2641-16671 |
|
3D全瓷牙贴面 |
1469-15403 |
|
Mega隐形瓷贴面 |
2402-17630 |
|
美国皓齿 |
1516-16152 |
|
瓷贴面 |
2522-15329 |
|
烤瓷牙补牙 |
1693-13276 |
|
烤瓷牙种植 |
1570-22229 |
|
全瓷牙种植 |
2667-31720 |
|
合金烤瓷牙 |
2485-30180 |
|
贵金属烤瓷牙 |
2856-28204 |
|
二氧化锆全瓷牙 |
2529-26519 |
|
镶牙 |
1814-10738 |
|
牙冠 |
2739-31545 |
|
前突牙 |
2955-32093 |
|
内收牙 |
2486-29849 |
|
牙齿脱落 |
2901-26010 |
|
微创种植 |
2432-28138 |
|
活动假牙 |
2587-31475 |
|
假牙 |
2830-25037 |
|
美容冠 |
1059-3688 |
|
龅牙矫正 |
4721-12938 |
|
地包牙矫正 |
4977-12007 |
|
虎牙矫正 |
2620-10703 |
|
牙齿不齐 |
1336-10474 |
|
牙齿稀疏 |
1178-10907 |
|
牙齿拥挤 |
4855-20819 |
|
隐适美 |
7485-84588 |
|
隐形正畸 |
8945-92066 |
|
金属托槽矫正 |
7093-85253 |
|
自锁托槽矫正 |
7313-85765 |
|
透明托槽矫正 |
8816-103060 |
|
透明隐形矫正 |
7925-102504 |
|
隐形矫正 |
7773-87320 |
|
隐形牙套 |
7239-102549 |
|
牙齿拥挤矫正 |
9543-85404 |
|
地包天矫正 |
7785-86518 |
|
凸嘴矫正 |
9432-90397 |
|
金属托槽 |
9334-81959 |
|
半隐型矫正 |
8825-82707 |
|
陶瓷矫正 |
8332-85217 |
|
深覆颌 |
7131-99743 |
|
牙套 |
8869-83144 |
|
牙颌畸形 |
9613-89333 |
|
补牙 |
806-11406 |
|
牙齿缺损修复 |
1497-10948 |
|
坏牙 |
1472-11733 |
|
蛀牙 |
1056-11165 |
|
拔智齿 |
1178-10498 |
|
牙齿综合 |
1076-12324 |
|
根管 |
1072-10655 |
|
牙周护理 |
1177-10787 |
|
牙渍 |
1264-12656 |
|
阻生牙 |
1323-12268 |
|
隐裂牙 |
1069-10326 |
|
多生牙 |
1238-10306 |
|
磨牙 |
1058-10113 |
|
塞牙 |
1451-10158 |
|
牙缝变大 |
1137-11014 |
|
龋齿 |
1312-11190 |
|
牙齿断裂 |
1086-11341 |
|
虫牙 |
1410-12190 |
|
牙洞 |
1202-10617 |
|
树脂补牙 |
1054-12437 |
|
浅龋 |
1080-12564 |
|
中龋 |
1319-10815 |
|
深龋 |
1249-10869 |
|
3M树脂补牙 |
1439-10539 |
|
烂牙 |
1353-11124 |
|
牙齿龋坏 |
1343-12870 |
|
微创根管 |
1230-10114 |
|
牙痛 |
1217-12511 |
|
牙磨损 |
1321-10526 |
|
牙脱位 |
1374-10553 |
|
牙齿外伤 |
1316-10759 |
|
超声波洁牙 |
457-2340 |
|
咖啡牙美白 |
466-2116 |
|
喷砂洁牙 |
378-2061 |
|
色素牙美白 |
496-8332 |
|
四环素牙美白 |
446-7191 |
|
洗牙 |
337-2352 |
|
牙齿冷光美白 |
473-2100 |
|
牙齿抛光 |
382-1756 |
|
牙齿漂白 |
410-2228 |
|
烟渍牙美白 |
421-2065 |
|
冷光美白 |
417-2294 |
|
皓齿美白 |
440-2157 |
|
牙黄变白 |
492-2068 |
|
氟斑牙美白 |
462-2049 |
|
变色牙美白 |
470-2235 |
|
黑牙美白 |
473-2385 |
|
茶渍牙美白 |
480-2277 |
|
牙美白 |
470-2204 |
|
半口牙种植 |
57396-142203 |
|
单颗牙种植 |
10720-31216 |
|
多颗牙种植 |
27407-194962 |
|
后牙种植 |
19619-55997 |
|
前牙种植 |
8789-32885 |
|
全口牙种植 |
82315-341135 |
|
种植牙/颗 |
5264-17860 |
|
瑞士ITI种植牙/颗 |
8347-16626 |
|
美国3I种植牙/颗 |
8347-20704 |
|
德国费亚丹种植牙/颗 |
11424-18861 |
|
瑞典诺贝尔种植牙/颗 |
11525-17884 |
|
德国贝格种植牙/颗 |
8395-18105 |
|
美国百康种植牙/颗 |
8063-16159 |
|
瑞典诺贝尔种植/颗 |
11602-20679 |
|
ITI瑞锆种植牙/颗 |
9127-18557 |
|
韩国奥齿泰种植牙/颗 |
6697-10100 |
|
韩国登特斯种植牙/颗 |
5953-9380 |
|
韩国美格真种植牙/颗 |
5798-16924 |
|
韩国登腾种植牙/颗 |
5605-10301 |
|
韩国dio种植牙/颗 |
5104-10012 |
|
德国ICX种植牙/颗 |
10112-19275 |
|
法国安多健种植/颗 |
11738-17618 |
|
进口种植牙/颗 |
9191-18509 |
|
国产种植牙 |
5645-13285 |
|
以上价格仅供参考,实际价格请到医院面诊获取! |
还有疑惑或者是想了解更多医院、医生、价格等信息
可以点击【在线咨询】,免费为您提供优质的咨询服务!