如果拥有一口洁白的牙齿,笑起来也会很迷人,有些人的牙齿看上去就有点发黄,微笑的时候也挺难堪的,会整个拉低人的形象,还有一些人的牙齿有缺失的情况,看上去更是会影响人的外表,针对牙齿存在的各类问题,都可以到口腔医院去就诊。上海英博口腔获得了卫健委核准,拥有正规医疗资质,主要开展口腔专科领域的诊疗,技术实力是比较领先的,建立了智慧医院系统,而且收费也挺公允的,在上海口腔诊疗领域中具有强大的实力。

一、上海英博口腔怎么样?
院内主打的是牙齿种植、全口种植牙修复,就诊的性价比较高,已经成功完成了数以万计的疑难种植手术,引进有法国先进的种植技术,并且进行了改良和创新,配备有各类专业化、数字化和精密的大型口腔诊疗设备,聚集了很多口腔界的精锐人才,配备有多台综合椅,医疗团队专业实力极强。

二、上海英博口腔牙齿种植案例反馈
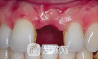
这牙齿少了一颗,可真是一言难尽,笑起来的时候看着就像呲个大牙,而且大牙里还缺了一颗,朋友见了我之后都忍不住嘲笑我,心里也挺不是滋味的,想把这个缺失的牙齿给补上,就找了一家可靠的口腔专科医院,那就是上海英博口腔,来院和医生表达了我的想法,医生帮我进行了分析和讲解,然后协助我选择了种植体。

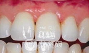
准备工作做的挺充分的,所以整个种植过程很快速,并且也比较顺利,手术过程花费了一个多小时,医生种植的比较细,各个方面都调整的比较到位,而且整个过程也没有疼痛感,医生说做完手术后需要磨合一段时间,让我暂时不要吃坚硬的食物,我都听医生的照做了,恢复了一个月左右,效果就比较理想了,牙齿吃饭变正常了,笑起来也更好看了,看着还挺逼真呢。

上海英博口腔怎么样?与瑞士士卓曼等多个知名品牌建立了稳定合作,医疗团队大多都有高学历,具有高超的调节技术,医生团队也会定期外出进修,学习先进的诊疗理念与技术,是一家大型连锁口腔专科医疗品牌。
还有疑惑或者是想了解更多医院、医生、价格等信息
可以点击【在线咨询】,免费为您提供优质的咨询服务!