每个人或多或少都有口腔问题,哪怕是有牙菌斑或者色素沉着,这也都是问题所在,还有一些比较严重的问题,像是牙根龋坏、牙齿缺失等,每个人面临的境况不同,所以在的时候需要采用的方式也不同,像是牙齿缺失,就得通过牙种植来解决。四平中心医院口腔科成立后发展稳定,并且已经有了几十年的积淀,在口腔诊疗领域,是实力派的存在,对于各类口腔疑难杂症、疑难种植项目,都可熟练地完成,李娜等医生都蛮好的,专业水平挺高的。

一、四平中心医院口腔科怎么样?
初始创建于1978年,是国内首批口腔专科,主要负责省内口腔疾病工作,经过40多年的发展,已经成为了集合口内、口外、正畸、种植、修复等为一体的体系,坐诊医生中,大多都是科班毕业的医疗专家,学科建设的也比较完善,整体水平处于市内领先,发展中也在不断提升和创新。

二、四平中心医院口腔科哪个医生好?
李娜医生,毕业于吉林大学口腔医院,已取得硕士研究生学历,毕业后就一直扎根在口腔诊疗临床工作中,对于牙周、牙体牙髓病的诊治、牙齿种植等项目,都已经积攒了丰富的经验,从业的过程中,形成了自己的诊疗特色,也是医疗团队中的核心骨干专家。
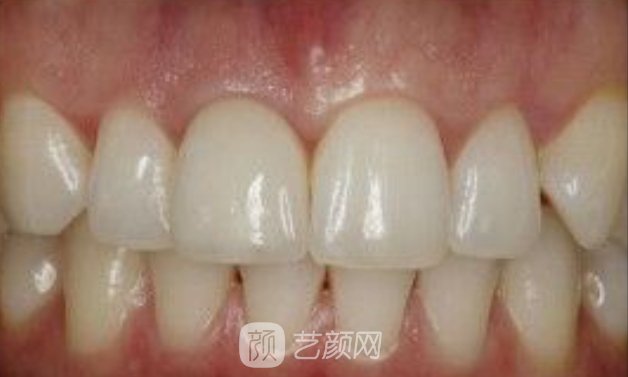
三、四平中心医院口腔科单颗牙种植案例

就我目前牙齿存在的问题,医生让我做单颗牙种植,我也别无他法,按医生说的做了种植,整个流程挺快的,耗时一个多小时,选择的种植体也是比较合我心意的,不光价格合适,主要材质品质也不错,种植之后看着很自然,一点也分不出来是哪个牙齿做的种植,使用过程中感觉坚硬程度也挺合适的,我比较喜欢。

四平中心医院口腔科怎么样?科室在发展过程中,医疗规模有所扩大,医疗技术水平也有所提升,医生团队不间断的外出学习,保持科室的核心竞争力,并且也具有自身的诊疗优势和特色,医护人员协作良好,多项医疗技术也得到了长足发展。
还有疑惑或者是想了解更多医院、医生、价格等信息
可以点击【在线咨询】,免费为您提供优质的咨询服务!