当人们有了更多的方法解决牙齿缺失的问题,自然而然会选择性价比较高的牙齿种植,虽然佩戴假牙也能够弥补牙齿缺失,但平时要保养,而且使用的时间也不是很长,不如直接种植效果理想,鹿城口腔医院是医保定点单位,并作为温州市卫生局下的市级口腔医院,在牙齿种植方面的技术很靠谱,开设在锦绣路宏嘉大厦,虽然医院并不是公立医院,但在价格方面以及在技术方面和公立医院的差别并不大,不影响大家的就诊。

一、鹿城口腔医院简介
超大的营业面积和独立的医疗空间,成为口腔医院当中的代表,具备有很强的医资力量,从每个科室当中坐诊的医生就能够看得出来,基本上都是有着5年以上工作经验的医生,主诊的医生很多都在公办医院工作过,还有一些是从三甲医院聘请的主任医生作为技术顾问,专门应对复杂的牙齿问题。
设立有牙齿种植中心,能够利用显微根管技术完成牙齿,在的过程当中还配备了笑气,使得整个过程无疼痛,对于身体也没有损伤。

平时也负责口腔的宣传,会在医院门口举行大型的宣传活动,偶尔也会举行义诊活动,履行自身的社会职能。
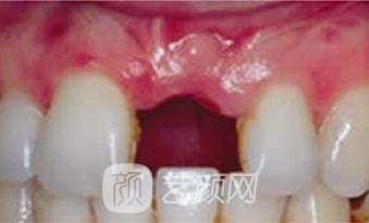
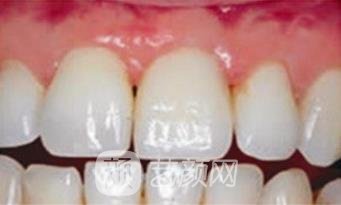
二、鹿城口腔医院种植牙案例

我今年才30多岁,但是从外表上看,就和50多岁的人没什么区别,并不是因为有皱纹,而是因为一口烂牙,正常好的牙齿没几颗,平时吃东西受影响,甚至不敢开口说话,在医生的鼓励之下,把受损的牙齿拔除掉,做了全口种植,虽说有一些些肉疼,毕竟全口种植的价格有些高,但至少看到整齐的牙齿,牙齿还又白又亮,吃东西的时候也没觉得有什么不一样。

鹿城口腔医院地址查询分享到这里,在这里不仅能够接触到很多上级医疗单位的医生,所使用的仪器也都是从国外进口,严把质量关,遵循四手操作原则,特别是在消毒方面,所有的大型设备每次使用之前是必须消毒的。
以下项目收费信息为当地市场参考价,通过用户反馈大数据收集整理,仅供参考!不代表该机构实际价格,请以到院面诊为准
|
整形项目价格表 |
|
整形项目 |
价格参考 |
|
3DS超薄瓷贴面 |
3275-9045 |
|
牙齿瓷贴面 |
1808-11115 |
|
E-MAX |
2871-16796 |
|
3D全瓷牙贴面 |
2373-17678 |
|
Mega隐形瓷贴面 |
2076-16065 |
|
美国皓齿 |
2540-15340 |
|
瓷贴面 |
2969-15914 |
|
烤瓷牙补牙 |
1839-15354 |
|
烤瓷牙种植 |
1643-23424 |
|
全瓷牙种植 |
2443-32171 |
|
合金烤瓷牙 |
2812-25376 |
|
贵金属烤瓷牙 |
2647-30473 |
|
二氧化锆全瓷牙 |
2556-29865 |
|
镶牙 |
1621-10769 |
|
牙冠 |
2742-30092 |
|
前突牙 |
2403-27936 |
|
内收牙 |
2704-27787 |
|
牙齿脱落 |
2467-25770 |
|
微创种植 |
2820-28809 |
|
活动假牙 |
2770-29357 |
|
假牙 |
2626-27008 |
|
美容冠 |
1308-3611 |
|
龅牙矫正 |
4140-12819 |
|
地包牙矫正 |
4306-10923 |
|
虎牙矫正 |
2619-12632 |
|
牙齿不齐 |
1401-12648 |
|
牙齿稀疏 |
1188-11169 |
|
牙齿拥挤 |
4967-23015 |
|
隐适美 |
9709-84859 |
|
隐形正畸 |
7712-99652 |
|
金属托槽矫正 |
8584-84696 |
|
自锁托槽矫正 |
9607-98443 |
|
透明托槽矫正 |
9818-101812 |
|
透明隐形矫正 |
8976-85171 |
|
隐形矫正 |
8903-93941 |
|
隐形牙套 |
7867-88643 |
|
牙齿拥挤矫正 |
8005-96006 |
|
地包天矫正 |
9259-99344 |
|
凸嘴矫正 |
7820-97016 |
|
金属托槽 |
7905-102717 |
|
半隐型矫正 |
9734-91391 |
|
陶瓷矫正 |
9365-88243 |
|
深覆颌 |
8032-86786 |
|
牙套 |
9518-102590 |
|
牙颌畸形 |
8927-93811 |
|
补牙 |
797-12593 |
|
牙齿缺损修复 |
1449-10598 |
|
坏牙 |
1427-12857 |
|
蛀牙 |
1182-10677 |
|
拔智齿 |
1478-11583 |
|
牙齿综合 |
1242-11316 |
|
根管 |
1094-10680 |
|
牙周护理 |
1293-11712 |
|
牙渍 |
1450-11230 |
|
阻生牙 |
1254-10156 |
|
隐裂牙 |
1319-11124 |
|
多生牙 |
1096-10781 |
|
磨牙 |
1174-10295 |
|
塞牙 |
1165-11174 |
|
牙缝变大 |
1475-11026 |
|
龋齿 |
1310-12306 |
|
牙齿断裂 |
1359-12603 |
|
虫牙 |
1112-11220 |
|
牙洞 |
1443-10884 |
|
树脂补牙 |
1297-12244 |
|
浅龋 |
1410-11039 |
|
中龋 |
1463-11352 |
|
深龋 |
1154-12182 |
|
3M树脂补牙 |
1275-12948 |
|
烂牙 |
1497-12777 |
|
牙齿龋坏 |
1056-11507 |
|
微创根管 |
1263-10564 |
|
牙痛 |
1121-10977 |
|
牙磨损 |
1237-10595 |
|
牙脱位 |
1087-12242 |
|
牙齿外伤 |
1411-11643 |
|
超声波洁牙 |
490-2186 |
|
咖啡牙美白 |
425-2278 |
|
喷砂洁牙 |
370-2078 |
|
色素牙美白 |
455-8075 |
|
四环素牙美白 |
473-7080 |
|
洗牙 |
369-2270 |
|
牙齿冷光美白 |
451-2334 |
|
牙齿抛光 |
374-1575 |
|
牙齿漂白 |
426-2133 |
|
烟渍牙美白 |
453-2054 |
|
冷光美白 |
414-2012 |
|
皓齿美白 |
421-2111 |
|
牙黄变白 |
401-2393 |
|
氟斑牙美白 |
479-2210 |
|
变色牙美白 |
449-2103 |
|
黑牙美白 |
470-2378 |
|
茶渍牙美白 |
409-2180 |
|
牙美白 |
482-2074 |
|
半口牙种植 |
56767-136061 |
|
单颗牙种植 |
12281-32327 |
|
多颗牙种植 |
27651-155638 |
|
后牙种植 |
15711-55128 |
|
前牙种植 |
8973-33185 |
|
全口牙种植 |
76747-221599 |
|
种植牙/颗 |
9902-17869 |
|
瑞士ITI种植牙/颗 |
9875-16516 |
|
美国3I种植牙/颗 |
9139-21935 |
|
德国费亚丹种植牙/颗 |
11036-16091 |
|
瑞典诺贝尔种植牙/颗 |
11753-19379 |
|
德国贝格种植牙/颗 |
9607-16660 |
|
美国百康种植牙/颗 |
9978-19398 |
|
瑞典诺贝尔种植/颗 |
11204-20918 |
|
ITI瑞锆种植牙/颗 |
9399-19140 |
|
韩国奥齿泰种植牙/颗 |
6174-10072 |
|
韩国登特斯种植牙/颗 |
5176-9187 |
|
韩国美格真种植牙/颗 |
5435-15281 |
|
韩国登腾种植牙/颗 |
5638-10316 |
|
韩国dio种植牙/颗 |
5290-10334 |
|
德国ICX种植牙/颗 |
10129-19210 |
|
法国安多健种植/颗 |
11415-15786 |
|
进口种植牙/颗 |
9677-15961 |
|
国产种植牙 |
5064-13120 |
|
以上价格仅供参考,实际价格请到医院面诊获取! |
还有疑惑或者是想了解更多医院、医生、价格等信息
可以点击【在线咨询】,免费为您提供优质的咨询服务!