随着人们对于新疆的了解越来越多,很多人把假期去新疆旅游,列入到了清单里,经济水平到逐步提升,医疗资源也就逐步增多,石河子二医院作为三甲医院之一开设的口腔科,肩负着全区的医疗保障工作,想要挂号可以通过医院的微信公众号,或者是到医院的门诊部直接挂号就可以了。

一、石河子二医院牙科综合实力点评
医院是在1982年成立的,始终坚持着科学技术为第一生产力的原则,在原有的基础之上,通过参加国际学术会议,以及在国内外刊物上发表学术论文,不断的提升创新能力,截至现在已经开展300多项新的项目和技术,像是在射频消融以及心脏病介入上,领先于同水平的医院。
口腔科能够做精密附着体的,还有在牙齿不齐的问题上,能够利用自锁托槽和隐形托槽完成诊治,种植牙也是科室的一大优势,能够处理复杂的牙齿缺失问题。

二、石河子二医院牙科医生怎么样
陈增平,作为现任科主任,曾经在广东省口腔医院学习牙齿种植技术,现在已经有20多年的工作经验,解决了很多的修复难题,也能够利用单颗种植牙的技术,完成牙齿缺失的。
于卉,在上海九院进修后,是科室里主要负责牙体修复、牙齿种植和牙周疾病等,能够进行疑难复杂根管,快速解除出现的疼痛。
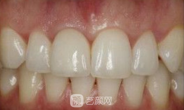
三、石河子二医院牙科种植牙案例

只有当失去才意识到重要性,年轻的时候不知道要好好保护牙齿,人到中年当牙齿缺失之后,没有办法好好吃东西,甚至影响到了外形,好在做了牙齿种植,以上的情况得到了好转,像我选择的是半口种植牙,所以说价格有一点高,但至少能够弥补缺牙的问题,恢复期比较短,当天就能够佩戴牙冠,医生说已经不再影响吃东西,又等了一周才逐步恢复饮食。

石河子二医院牙科怎么挂?科室提供了很多的项目,也能够在这里解决大部分的口腔问题,随着不断加大技术的创新力度,关于牙齿种植也增加了很多新的方法,比如像全口种植。
还有疑惑或者是想了解更多医院、医生、价格等信息
可以点击【在线咨询】,免费为您提供优质的咨询服务!