科技的进步就在于之前很多不能够解决的事情,现在都能够找到解决的方法,像是针对于牙齿缺失的问题,以前的人们只能够把旁边健康的牙齿磨小,然后再佩戴牙冠,这样对于健康的牙齿和受损的牙齿都是不小的伤害,而现在的牙齿种植技术,只需要对受损的牙齿进行,淮安市口腔医院曾获得价格诚信单位的荣誉称号,是二级公立口腔医院,牙齿种植的费用也比较合理,像单颗种植的价格在7800元起价格作为参考。

一、淮安市口腔医院简介
很早就已经推广舒适化口腔技术,在升级成为口腔医院后,院内的科室设置逐步齐全,相继开设的正畸、牙体牙髓、牙齿种植,都是医院现在主要发展的专业科室能够提供疾病诊疗,还肩负着全市的预防保健。积极开展新的项目,设立的种植中心,还配备有专门的手术室,所使用到的种植系统是来自于瑞士德国的。

二、淮安市口腔医院医生介绍
胡鹏浩,能够就下颌后缩的问题做手术,针对于牙齿不齐等一些常见的口腔问题,由医生实施之后,口腔外形得到,还能够调整口腔咀嚼功能。
李彦波,毕业于南京医科大学,工作多年获得了多项专业荣誉称号,是团队里在种植和修复上能力排在前几位的医生专门在省级口腔医院进修,掌握着新型方式。
三、淮安市口腔医院种植牙案例

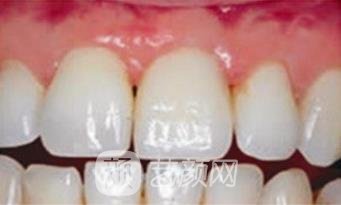
原本的牙齿就不是很齐,因为一次篮球比赛还缺失了一颗犬牙,简直是雪上加霜的事情,好在家里面的人得知了我的情况,给予了资金上的支持,让我安装一颗质量好一些的牙齿,所以挑选了德国的种植牙,虽说有一点小贵,但种植后的效果还是很满意的。

淮安市口腔医院是公立还是私立医院?作为江苏省口腔医院的定点技术合作单位,在淮安当地的地位是很高的,毕竟是为数不多的公立口腔医院,从技术还有从医生的实力上都比较领先。
还有疑惑或者是想了解更多医院、医生、价格等信息
可以点击【在线咨询】,免费为您提供优质的咨询服务!