做种植牙当然是要找本地人口碑严选的机构,比如洛阳口腔医院,因为是从1958年就已经正式创办成立,是由洛北医院成功晋级的口腔专科医院,而且作为公立医院之一,在口腔方面的特色突出,现在已经成为洛阳乃至整个河南西北部地区口碑都比较好的专科医院。

一、洛阳市口腔医院简介
肩负着许多的重要职能,而且作为口腔专科医院,所开展的科室也都是围绕着口腔疾病所设立,拥有专业的检查设备,像是卡瓦牙片机,还有曲面断层仪器,在诊断方面提供的帮助比较多,针对于牙齿种植,除了多种多样的种植系统之外,现在还能够进行骨量不足的种植手术,以满足不同层次的种植需求。

二、洛阳市口腔医院医生信息
胡成训,进入到医院之后就一直都处于技术前沿,现在还是科室的科主任,并作为亚太口腔种植协会的理事成员,凭借着出众的牙齿种植技术,在洛阳的口腔种植领域里,是有着较高声誉的医生,已经可以做全口种植,还能够完成自体骨移植。
李京治,专业做疑难牙齿的种植修复,对于人工种植牙的使用,也是医生的一大优势,从新乡医学院毕业之后,医生所掌握到的口腔理论知识还是很丰富的,现在是主任医师之一,随着自身能力的逐步提升,还是口腔医学会到常务委员。
三、洛阳市口腔医院种植牙案例

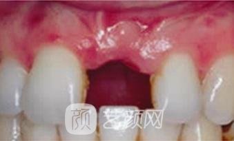
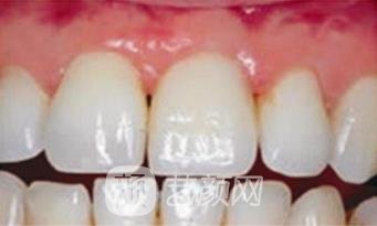
截止到上周,做完牙齿种植已经有一年的时间,回顾这一年来,牙齿不仅能够正常的使用,而且吃东西和我自己的牙齿是一样的,种植牙对于我来说,不仅修补了缺失的牙齿,而且还恢复了正常的咀嚼能力,从开始种植到安装牙冠一共用了6个月的时间,所以如果资金充足的话,也可以尝试直接安装牙冠的那种方法。

洛阳口腔医院是公立的吗?在多个方面的技术已经逐步奠定在省内的地位,医院还培养了很多的口腔医学人才,推动本地口腔医疗领域发展的同时,也为父老乡亲的健康提供了重要的帮助。
还有疑惑或者是想了解更多医院、医生、价格等信息
可以点击【在线咨询】,免费为您提供优质的咨询服务!